Bác sĩ Bernard Healthcare phát hiện và phẫu thuật thành công khối u gan khổng lồ kích thước 12cm
22/07/2024
Từ ảnh chụp CTscan ngực - bụng – chậu có cản quang, các xét nghiệm sinh hóa và định lượng virus viêm gan B, bệnh nhân được nhận định mắc ung thư biểu mô tế bào gan (HCC). Hội đồng Y khoa Bernard Healthcare cùng TS. BS. Võ Nguyên Phong - chuyên khoa Ngoại – Tiêu Hóa và Gan Mật Tụy lập tức hội chẩn, thống nhất phương pháp điều trị và lên kế hoạch phòng ngừa tái phát cho bệnh nhân.
1. Thông tin ca bệnh
Bệnh nhân nam tên Q.T. 32 tuổi, có tiền sử viêm gan siêu vi B mạn hơn 20 năm, đã lâu không khám sức khỏe định kỳ. Sau khi được thăm khám kỹ lưỡng và chi tiết, các bác sĩ Bernard nhận thấy anh T. có những bất thường ở vùng gan trái, nghi ngờ là khối u. Ngay sau đó, anh T. được chỉ định thực hiện các xét nghiệm cần thiết, quan trọng nhất là chụp CT scan ngực - bụng - chậu có cản quang.
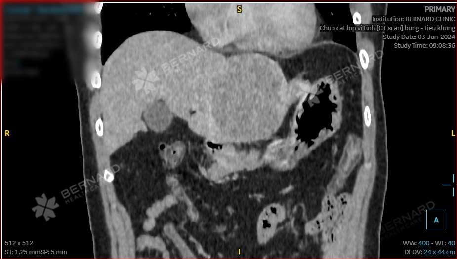
Ảnh chụp CT Scan của anh T. cho thấy, vùng bụng có những tổn thương choán chỗ lớn ở nhu mô gan trái, hạ phân thùy II, III và một phần IV, kích thước khoảng 75x85x82mm, đậm độ thấp trên phim, bắt thuốc tương phản mạnh không đồng nhất, có vỏ bao thì muộn. Ngoài ra, còn có một nang gan nhỏ ở vùng hạ phân đoạn VIII, kích thước khoảng 5mm.

Từ kết quả này, các bác sĩ đã đưa ra nhận định: Bệnh nhân mắc UNG THƯ BIỂU MÔ TẾ BÀO GAN (HCC). Tuy nhiên, cần thực hiện thêm các xét nghiệm để chẩn đoán phân biệt với ung thư tế bào gan dạng xơ dẹt (FLC).
Kết quả xét nghiệm sinh hoá của bệnh nhân với PIVKA-II* 4000 mAU/ml góp phần chẩn đoán u gan này là HCC. Bên cạnh đó, xét nghiệm định lượng virus viêm gan B trên người bệnh ghi nhận, HBV DNA Taqman đạt 2200 UI/mL với tải lượng hơn 11000 copies/mL cho thấy bệnh nhân bị nhiễm virus viêm gan B - Yếu tố nguy cơ cao gây HCC.
Ngay lập tức, Hội đồng Y khoa Bernard kích hoạt hội chẩn với sự tham gia của TS. BS. Võ Nguyên Phong - Chuyên khoa Ngoại tiêu Hóa và Gan Mật Tụy để thống nhất chẩn đoán, phương án điều trị và theo dõi cho bệnh nhân.
Theo đánh giá của TS. BS. Võ Nguyên Phong, khối u gan trái của bệnh nhân khá lớn (>5cm), u đơn độc, chức năng gan bảo tồn, chưa phát hiện tổn thương thứ phát hay di căn, xếp giai đoạn A theo hệ thống phân độ Ung thư gan Barcelona (BCLC) 2022. Từ đó, bệnh nhân được chỉ định phẫu thuật cắt gan trái.
Với nhiều năm kinh nghiệm trong điều trị các bệnh ung thư Tiêu hoá – Gan Mật Tụy, TS. BS. Võ Nguyên Phong đã trực tiếp tiến hành ca phẫu thuật và thành công lấy triệt để khối u gan trái cho bệnh nhân sau 3 giờ mổ. Kết quả giải phẫu bệnh sau mổ xác nhận đây là khối u HCC khổng lồ với đường kính (dmax) 12cm, u cách bờ phẫu thuật > 2cm và diện cắt đảm bảo an toàn.
BS. Võ Nguyên Phong chia sẻ: “Trường hợp của bệnh nhân khá nguy hiểm khi đồng thời mắc hai bệnh lý: Ung thư gan và viêm gan siêu vi B. Mặc dù được phát hiện kịp thời ở giai đoạn đầu nên tiên lượng sống còn cao (> 5 năm), nhưng tình trạng viêm gan B mạn với tải lượng virus rất cao như hiện tại có thể làm tăng nguy cơ u gan tái phát sớm. Việc theo dõi và điều trị bệnh phụ thuộc chủ yếu vào hiệu quả kiểm soát tình trạng viêm gan B mạn”.
Bệnh nhân được bác sĩ Bernard tư vấn và xây dựng chế độ theo dõi đặc biệt để phòng ngừa tái phát ung thư gan như sau:
- Trong 2 năm đầu, cần theo dõi và kiểm tra định kỳ khoảng 3-6 tháng/lần chỉ dấu ung thư gan (AFP, PIVKA-II) và thực hiện ít nhất một phương pháp chẩn đoán hình ảnh (CT scan cản quang hoặc MRI cản từ). Từ năm thứ 3 đến năm thứ 5, kiểm tra lại mỗi 6 tháng/lần.
- Tiếp tục thăm khám và theo dõi cùng bác sĩ chuyên môn để kiểm soát viêm gan siêu vi B mạn, hạn chế tối đa nguy cơ bùng phát cấp viêm gan mạn hoặc suy gan.
2. Ung thư biểu mô tế bào gan (HCC) và ung thư tế bào gan dạng xơ dẹt (FLC) là gì?
Ung thư biểu mô tế bào gan (HCC) là một trong 6 loại ung thư phổ biến nhất trên thế giới. Tại Việt Nam, HCC là dạng ung thư ác tính có tỷ lệ mắc mới và tử vong cao nhất ở cả hai giới, chiếm 90% tổng số ca ung thư gan.
Ung thư tế bào gan dạng xơ dẹt (FLC) được xem là một biến thể mô bệnh học của HCC và đang dần trở thành một thực thể lâm sàng riêng biệt khi so sánh với các đặc điểm dịch tễ, nguyên nhân và tiên lượng của HCC. Trái ngược với HCC, FLC chỉ chiếm khoảng 1-9% các trường hợp ung thư gan nguyên phát.
Khi nào nên thực hiện tầm soát ung thư gan?
BS. Võ Nguyên Phong khuyến nghị: “Những trường hợp mắc viêm gan siêu vi B, viêm gan siêu vi C hoặc đồng thời nên thực hiện tầm soát định kỳ ít nhất mỗi 6 tháng, kết hợp các xét nghiệm tầm soát marker ung thư gan và các phương tiện chẩn đoán hình ảnh vì nguy cơ xuất hiện ung thư gan cao hơn so với người không có yếu tố nguy cơ”.
3. Chủ động tầm soát, phát hiện sớm ung thư gan cùng Bernard Healthcare
Ung thư gan là một trong những căn bệnh nguy hiểm và thường diễn ra âm thầm, không có triệu chứng rõ ràng ở giai đoạn đầu. Chính vì vậy, việc chủ động tầm soát và phát hiện sớm ung thư gan là vô cùng quan trọng để đảm bảo hiệu quả điều trị và tăng tỷ lệ sống sót cho bệnh nhân.
Lựa chọn gói tầm soát ung thư gan chuyên sâu tại Bernard Healthcare, khách hàng sẽ được thăm khám bởi đội ngũ bác sĩ đầu ngành về Nội tiêu hóa, Gan mật, Ung bướu; hội chẩn theo quy trình được kiểm soát chất lượng bởi Hội đồng Cố vấn Y khoa Bernard và Bệnh viện Đại học Yamanashi (Nhật Bản).
Quy trình tầm soát chuyên sâu ung thư gan tại Bernard Healthcare gồm các bước:
- Khám lâm sàng: Khách hàng, người bệnh được đo sinh hiệu và kiểm tra các triệu chứng lâm sàng của ung thư gan. Sau đó, bác sĩ Bernard sẽ chỉ định các phương pháp tầm soát phù hợp.
- Xét nghiệm chuyên sâu: Khách hàng, người bệnh thực hiện các xét nghiệm máu để đánh giá chức năng gan và phát hiện các vấn đề về gan như AFP, AFP-L3, DCP, PIVKA II,...
- Siêu âm gan: Khách hàng, bệnh nhân được thực hiện siêu âm để kiểm tra kích thước, các dấu hiệu bất thường của gan. Bernard Healthcare sử dụng hệ thống siêu âm của GE Healthcare (Mỹ), nhanh chóng, chính xác.
- CT Scan hoặc MRI gan: Khách hàng, bệnh nhân được chỉ định CT Scan hoặc MRI để xác định rõ hơn về các biến đổi bất thường của gan. Với cấu trúc cản quang, những phương pháp này có thể giúp phát hiện các khối u ở giai đoạn rất sớm.
Bên cạnh gói tầm soát chuyên sâu ung thư gan, Bernard Healthcare còn phối hợp cùng Bệnh viện Đại học Yamananashi triển khai gói tầm soát chuyên sâu ung thư bằng công nghệ cao, theo mô hình Ningen Dock 70 năm uy tín Nhật Bản.
Ningen Dock Bernard giúp phát hiện sớm tổn thương lành tính, tổn thương tiền ung thư, ung thư, đặc biệt giai đoạn sớm (ung thư tại chỗ).
Với đội ngũ bác sĩ đa chuyên khoa dày dặn kinh nghiệm cùng quy trình các trạm và kết cấu gói khám toàn diện: đầy đủ xét nghiệm; nội soi, thăm dò chức năng,… Đặc biệt là chẩn đoán hình ảnh với hệ thống “mắt thần” MRI toàn thân tích hợp trí tuệ nhân tạo; CT Scan; siêu âm,… tầm soát chuyên sâu ung thư với Ningen Dock giúp hạn chế bỏ sót sang thương, tổn thương.
Ningen Dock Bernard áp dụng công nghệ y khoa hiện đại và đồng bộ: dựng hình chuyên sâu giúp tăng cường phát hiện sớm bất thường, tổn thương, tiền ung thư,… Quản lý lưu trữ hồ sơ bệnh án dài hạn giúp dễ dàng so sánh, đánh giá diễn biến sức khỏe qua các lần thăm khám.
Các kết quả MRI, CT Scan, nội soi đều được giám sát chất lượng nghiêm ngặt, trực tiếp bởi Bệnh viện Đại học Yamanashi (Nhật Bản). Trong trường hợp nghi ngờ hoặc phát hiện bất thường, Hội đồng y khoa Bernard sẽ kích hoạt quy trình hội chẩn đa chuyên khoa với các chuyên gia đầu ngành trong và ngoài nước (Nhật Bản).
Sau khi thăm khám, khách hàng sẽ được tư vấn chi tiết về kết quả, cùng kế hoạch theo dõi và kiểm tra định kỳ nếu cần thiết.
Liên hệ qua hotline (028) 3535 2468 hoặc chia sẻ thông tin liên hệ TẠI ĐÂY, đội ngũ tư vấn của Bernard Healthcare sẽ liên hệ bạn trong thời gian sớm nhất.





.jpg?w=500)