Tình cờ phát hiện ung thư tuyến giáp nhờ khám sức khỏe định kỳ tại Bernard Healthcare
10/07/2024
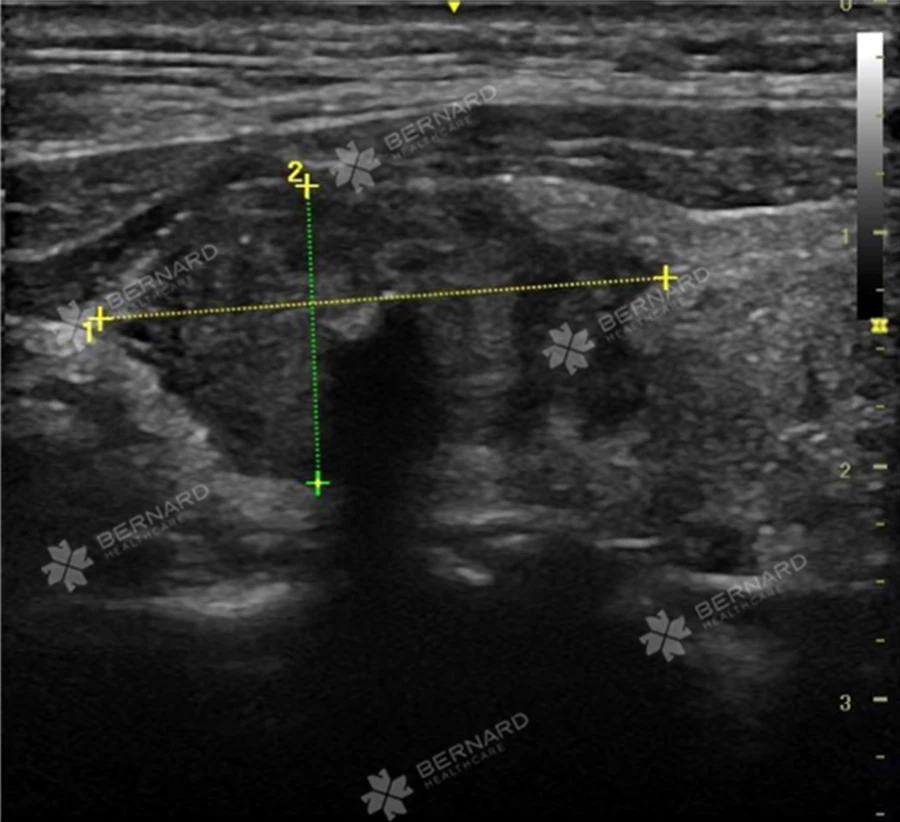
Khách hàng nam 37 tuổi, tiền căn khỏe mạnh, không có triệu chứng bất thường, đến Bernard Healthcare khám sức khỏe tổng quát. Từ kết quả siêu âm, bác sĩ chẩn đoán hình ảnh phát hiện nhân ở 2 thùy tuyến giáp.
Một nhân giáp thùy phải với kích thước #24x13 mm, TIRADS 5, bên trong có vôi hóa thô và vi vôi hóa, bờ không đều, nghi ngờ xâm lấn vỏ bao trước. Nhân giáp còn lại tại vị trí eo giáp với kích thước nhỏ #2x1.5 mm, TIRADS 4.
Nhận thấy tổn thương có nguy cơ cao, các bác sĩ Bernard đã đánh giá cẩn thận và tư vấn vị khách này thực hiện chọc hút tế bào tuyến giáp bằng kim nhỏ (FNA). Kết quả giải phẫu ghi nhận, CARCINOMA TUYẾN GIÁP DẠNG NHÚ - Ung thư giáp thể nhú (cT3N0M0).
Ngay lập tức, quy trình hội chẩn đa chuyên khoa được kích hoạt với sự tham gia của TS BS CKII. Nguyễn Viết Đăng Quang - Chuyên khoa Ngoại lồng ngực, Thành viên Hội đồng Cố vấn Y khoa Bernard cùng các bác sĩ Nội khoa, bác sĩ chẩn đoán hình ảnh của Bernard đã thảo luận và thống nhất kế hoạch điều trị tối ưu cho bệnh nhân.
Bệnh nhân được tư vấn chi tiết kế hoạch phẫu thuật cùng bác sĩ chuyên gia và được giới thiệu đến bệnh viện chuyên khoa để tiếp tục thực hiện phương án điều trị theo kế hoạch.
Chọc hút tế bào bằng kim nhỏ (FNA) - Phương pháp tầm soát ung thư tuyến giáp nhanh chóng, chính xác tại Bernard HealthcareĐại diện Hội đồng Y khoa Bernard cho biết, chọc hút tế bào bằng kim nhỏ (Fine Needle Aspiration - FNA) là phương pháp chẩn đoán các bệnh lý tuyến giáp, đặc biệt là ung thư tuyến giáp nhanh chóng và chính xác. Đây là một kỹ thuật ít xâm lấn, giúp lấy mẫu tế bào từ tuyến giáp để phân tích dưới kính hiển vi, nhằm xác định sự hiện diện của các tế bào ung thư hoặc các tổn thương bất thường khác.
đặc biệt là ung thư tuyến giáp nhanh chóng và chính xác. Quy trình chọc hút tế bào bằng kim nhỏ thường được thực hiện dưới sự hướng dẫn của siêu âm, giúp xác định vị trí chính xác của khối u hoặc nốt tuyến giáp. Một kim nhỏ được chèn vào khối u qua da, sau đó mẫu tế bào được hút ra và gửi đến phòng thí nghiệm để kiểm tra. Quy trình này thường chỉ mất vài phút và ít gây đau đớn cho bệnh nhân, đồng thời không đòi hỏi thời gian hồi phục dài. Tại Bernard, FNA do bác sĩ có kinh nghiệm trực tiếp thực hiện dưới hướng dẫn siêu âm, đảm bảo tuân thủ đúng quy trình chuyên môn và tiêu chuẩn kỹ thuật, mang đến kết quả chính xác và hạn chế tối đa biến chứng. Dựa vào đó, các bác sĩ giải phẫu bệnh có thể chẩn đoán chính xác bản chất tổn thương, giúp bác sĩ lâm sàng xây dựng phác đồ điều trị phù hợp nhất cho từng bệnh nhân. Ung thư tuyến giáp nói riêng và các bệnh lý ung thư nói chung, nếu được phát hiện sớm, cơ hội điều trị hiệu quả càng cao. Chính vì vậy, hãy chủ động khám sức khỏe định kỳ; tầm soát ung thư chuyên sâu cùng Bernard Healthcare để kịp thời phát hiện những bất thường ẩn giấu, trước khi cơ thể xuất hiện triệu chứng! Đặt lịch khám qua hotline (028) 3535 2468 hoặc để lại thông tin TẠI ĐÂY, đội ngũ tư vấn Bernard Healthcare sẽ liên hệ với bạn ngay. |
>>>Xem thêm: Tầm soát ung thư tuyến giáp theo mô hình Nhật Bản tại Bernard Healthcare



.webp?w=500)

.png?w=500)