Nội soi tiêu hóa tại Bernard, phát hiện sớm Barrett thực quản và viêm teo niêm mạc dạ dày
03/10/2025
Anh N.V.T. (nam, 41 tuổi) đến khám sức khỏe định kỳ tại Bernard. Trước khi đến khám, bệnh nhân không xuất hiện các triệu chứng tiêu hóa trên như ợ nóng, trào ngược, đau thượng vị…
Khi tiếp nhận, bác sĩ Bernard ghi nhận được một số thông tin về thói quen sinh hoạt và tiền căn bệnh lý ở nam bệnh nhân như thỉnh thoảng sử dụng rượu bia (4–5 lon/lần trong những dịp có tiệc), không hút thuốc lá. Gia đình không ghi nhận bệnh lý tiêu hóa ác tính như ung thư thực quản hay ung thư dạ dày.
Cách đây một năm, bệnh nhân từng thực hiện nội soi tiêu hóa và được chẩn đoán viêm sung huyết niêm mạc dạ dày do H. pylori, sau đó bệnh nhân đã được lên kế hoạch điều trị và tiệt trừ thành công.
Dựa trên tiền sử nhiễm H. pylori và tổn thương niêm mạc dạ dày đã ghi nhận trước đó, bác sĩ Bernard đã tư vấn thực hiện nội soi tiêu hóa kiểm tra lại, theo đúng các khuyến cáo y khoa hiện hành. Mục tiêu là đánh giá khả năng tái phát H. pylori, theo dõi tiến triển tổn thương cũ, đồng thời tầm soát sớm các tổn thương mới, đặc biệt là những tổn thương tiền ung thư.
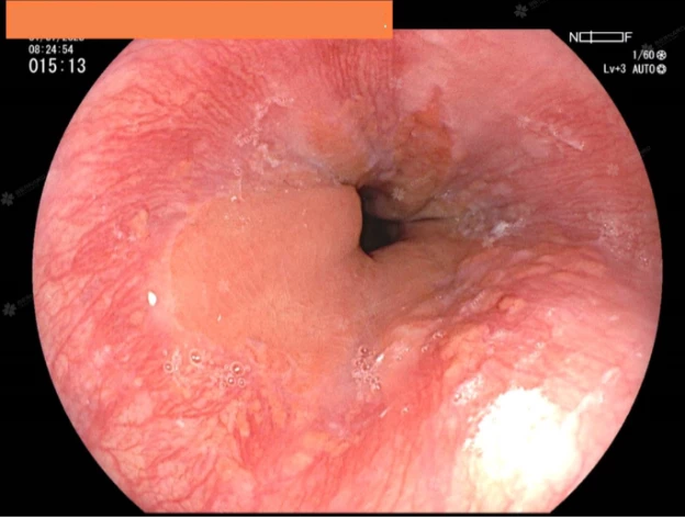
Ở lần nội soi tiêu hóa này, kết quả ghi nhận các tổn thương ở bệnh nhân như Viêm thực quản trào ngược (GERD) độ A, Barrett thực quản, phân độ Prague C1M2. Ngoài ra, bác sĩ Bernard còn ghi nhận tình trạng Viêm teo niêm mạc dạ dày (C1 – theo Kimura Takemoto) kết hợp chuyển sản ruột dạng nhô cao vùng hang vị – tiền môn vị, CLO test (-) (âm tính với vi khuẩn H. pylori). Đây được xem là những tổn thương tiền ung thư dạ dày nhưng ở mức độ nguy cơ thấp.
Tại buổi thảo luận và trao đổi ý kiến chuyên môn thông qua việc chia sẻ hình ảnh và thông tin kết quả nội soi với các chuyên gia Nhật Bản, trong đó có sự tham gia của Bác sĩ Kinoshita Koshi - Trưởng khoa Tiêu hóa và Nội soi và Tiến sĩ, Bác sĩ Phạm Nguyên Quý - Trưởng khoa Ung thư nội khoa, Bệnh viện Trung ương Kyoto Min-iren, chẩn đoán lâm sàng từ bác sĩ Bernard đã nhận được sự đồng thuận chuyên môn.
Barrett thực quản là hậu quả mạn tính của GERD – khi hiện tượng trào ngược kéo dài gây tổn thương biểu mô vảy bình thường của thực quản, khiến mô này bị thay thế bằng biểu mô trụ kiểu ruột (chuyển sản ruột). Theo chia sẻ của các chuyên gia bác sĩ đến từ Nhật Bản, đây là một tổn thương tiền ung thư, làm tăng nguy cơ tiến triển thành ung thư biểu mô tuyến thực quản. Mặc dù không phải tất cả các trường hợp Barrett đều dẫn đến ung thư, nhưng bệnh nhân có nguy cơ cao hơn đáng kể so với người bình thường.
Ngoài tổn thương Barrett, bệnh nhân còn có viêm teo niêm mạc dạ dày và chuyển sản ruột (mức độ nhẹ) – những tổn thương tiền ung thư được biết đến trong chuỗi tiến triển từ viêm mạn, teo niêm mạc, đến loạn sản và ung thư dạ dày.
Theo chia sẻ ý kiến chuyên môn từ Bác sĩ Koshi và bác sĩ Phạm Nguyên Quý, Barrett thực quản đơn thuần, thông thường có thể theo dõi nội soi lại sau 2 năm. Tuy nhiên, với sự hiện diện đồng thời của tổn thương viêm teo niêm mạc dạ dày, các chuyên gia thống nhất cần nội soi kiểm tra lại sau 1 năm, nhằm tầm soát sớm tiến triển bất thường nếu có.
Bệnh nhân cũng được tư vấn thay đổi lối sống và thói quen sinh hoạt nhằm kiểm soát GERD: tránh các thực phẩm và đồ uống gây trào ngược như rượu bia, cà phê, nước có gas, thức ăn chua, cay, nhiều dầu mỡ, nếu triệu chứng nặng có thể cân nhắc điều trị với thuốc PPIs; đồng thời duy trì cân nặng hợp lý và tránh ăn quá no hoặc nằm ngay sau khi ăn.
Đặt lịch nội soi tiêu hóa chuẩn Nhật tại Bernard Healthcare qua hotline 028 3535 2468 hoặc để lại thông tin nhận tư vấn NGAY TẠI ĐÂY.






