Phát hiện tổn thương nghi u ở vùng góc cầu tiểu não qua tầm soát chuyên sâu ung thư chuẩn Nhật tại Bernard
29/10/2025
Chóng mặt, mất thăng bằng, buồn nôn thoáng qua,... những triệu chứng tưởng chừng đơn giản đôi khi lại ẩn chứa nguyên nhân nguy hiểm phía sau. Trường hợp anh P.M.T. (39 tuổi) được phát hiện tổn thương nghi u ở vùng góc cầu tiểu não trái (schwannoma) qua tầm soát ung thư chuyên sâu tại Bernard đã giúp phát hiện bệnh ở giai đoạn sớm khi chưa có biểu hiện rõ ràng.
Khi cơ thể phát tín hiệu bất thường dù vẫn duy trì lối sống lành mạnh
Anh T. vẫn duy trì lối sống lành mạnh với thói quen đá bóng khoảng 90 phút mỗi buổi, 1–2 lần mỗi tuần. Tuy nhiên, thời gian gần đây anh T. thường xuyên bị chóng mặt, choáng váng và mất thăng bằng đột ngột mỗi khi đứng lên hoặc di chuyển. Anh còn cảm thấy buồn nôn nhưng không nôn, dù trước đó chưa từng bị chấn thương hay mắc bệnh liên quan đến thần kinh hoặc não.
Triệu chứng xuất hiện bất ngờ và tái diễn liên tục khiến anh T. lo lắng về tình trạng sức khỏe, nên đã đến Bernard Healthcare để thực hiện dịch vụ tầm soát chuyên sâu ung thư cho nam giới.
Qua thăm khám ban đầu ghi nhận, khách hàng tỉnh táo, tiếp xúc tốt, sinh hiệu ổn định, thể trạng trung bình. Không ghi nhận dấu hiệu thiếu máu não thoáng qua hay dấu thần kinh khu trú. Theo khuôn khổ gói khám, anh T. được chỉ định chụp cộng hưởng từ (MRI) não, có tiêm thuốc cản từ để đánh giá rõ hơn cấu trúc mô và mạch máu.
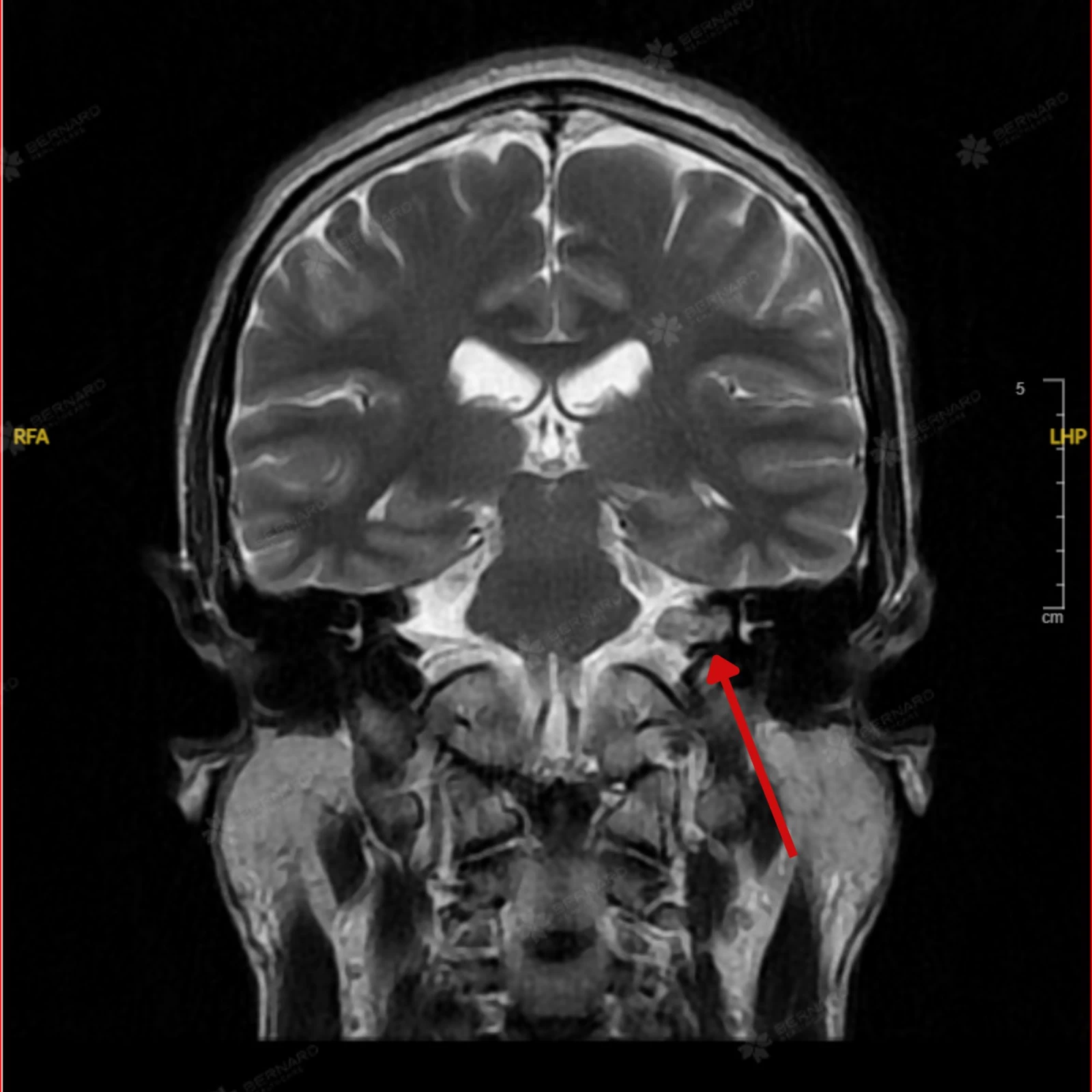
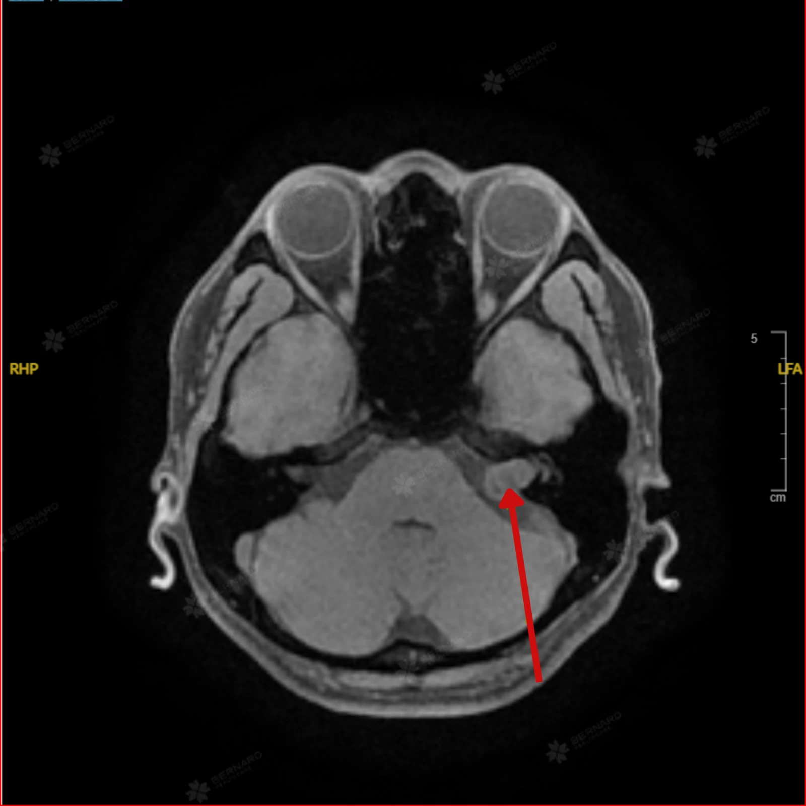
Kết quả MRI não ghi nhận: Tổn thương choán chỗ ngoài trục tại vùng góc cầu tiểu não trái, lan vào ống tai trong trái, kích thước khối u khoảng 10 x 12 x 16 mm. Hình ảnh tổn thương gợi ý u góc cầu tiểu não trái lan vào ống tai trong, nghĩ nhiều đến schwannoma (u bao dây thần kinh).

Tham vấn ý kiến thứ hai kết quả MRI não cùng Chuyên gia Bệnh viện Đại học Yamanashi
Tại Bernard Healthcare, toàn bộ kết quả MRI/CT trong dịch vụ tầm soát chuyên sâu ung thư chuẩn Nhật được kiểm tra chéo/tham vấn ý kiến thứ hai cùng chuyên gia Bệnh viện Đại học Yamanashi theo quy trình 3 lớp chặt chẽ: Đọc - Kiểm tra chéo/tham vấn ý kiến thứ hai - Thảo luận chuyên môn giữa Bernard Healthcare và phía Bệnh viện.
Hiểu đúng về u góc cầu tiểu não (schwannoma)
Tiểu não là cấu trúc nằm ở hố sọ sau, phía sau cầu não và hành não, đóng vai trò quan trọng trong điều hòa vận động và kiểm soát thăng bằng. Khối u tại vị trí này, đặc biệt là u schwannoma, có thể gây ảnh hưởng nghiêm trọng đến sức khỏe và thậm chí tính mạng nếu phát triển lớn, do chèn ép các dây thần kinh sọ, thân não, tiểu não và gây tăng áp lực nội sọ.
Schwannoma (u bao sợi thần kinh) là khối u lành tính xuất phát từ tế bào Schwann bao quanh sợi thần kinh. Bệnh thường tiến triển chậm, chỉ khoảng 5% trường hợp chuyển dạng ác tính. Tuy nhiên, nếu khối u lan vào ống tai trong, nguy cơ mất thính lực một bên sẽ xuất hiện sớm, ngay cả khi kích thước ngoài góc cầu tiểu não chưa lớn.
Khi u phát triển > 3 cm hoặc chèn ép mạnh vào thân não, bệnh nhân có thể gặp biến chứng nặng như rối loạn thăng bằng, liệt mặt, rối loạn cảm giác vùng mặt, hoặc thậm chí đe dọa tính mạng.
Việc phát hiện tổn thương trong giai đoạn còn nhỏ và chưa gây biến chứng nặng giúp mở ra cơ hội điều trị hiệu quả hơn, đồng thời bảo tồn tối đa chức năng thần kinh. Anh T. sau đó được khuyến nghị khám chuyên khoa Ngoại Thần kinh tại Bệnh viện chuyên sâu để đánh giá chi tiết và lập kế hoạch điều trị phù hợp.
Tầm soát chuyên sâu ung thư chuẩn Nhật tại Bernard
CÔNG NGHỆ CAO - MÔ HÌNH NINGEN DOCK NHẬT BẢN - 2 BỆNH VIỆN NHẬT ĐỒNG HÀNH

- Phát hiện SỚM, KỊP THỜI, KHÔNG BỎ SÓT
Phát hiện tổn thương tiền ung thư và ung thư giai đoạn rất sớm (tại chỗ) khi chưa có triệu chứng, giúp bạn chủ động điều trị sớm, tăng khả năng hồi phục và giảm chi phí điều trị.
- Đội ngũ bác sĩ đa chuyên khoa, giàu kinh nghiệm.
Các chuyên gia từ Bệnh viện Đại học Yamanashi và Trung ương Kyoto Min-iren tham gia quá trình đánh giá, hội chẩn và định hướng điều trị.
- Quy trình tầm soát toàn diện, chặt chẽ với đầy đủ kỹ thuật
Thăm khám lâm sàng các chuyên khoa, nội soi, thăm dò chức năng, chẩn đoán hình ảnh hiện đại bằng hệ thống “mắt thần” MRI tích hợp AI, CT liều thấp, siêu âm đầy đủ các bộ phận,... kết hợp đánh giá các bệnh lý nền và bệnh lý thường gặp bằng xét nghiệm chuyên sâu.
- Công nghệ y khoa tiên tiến - Hồ sơ thông minh
- Dựng hình chuyên sâu PACS giúp phát hiện tổn thương sớm, chi tiết đến từng milimet.
- Hồ sơ y khoa điện tử thông minh giúp lưu trữ dài hạn, thuận tiện cho việc theo dõi và so sánh sức khỏe qua các lần khám.
- Đồng kiểm tra kết quả tại bệnh viện Ung thư Nhật Bản
- 100% kết quả MRI, CT được đọc song song, tham vấn ý kiến thứ hai bởi Bệnh viện Đại học Yamanashi theo quy trình 3 lớp nghiêm ngặt.
- Nội soi tiêu hóa được giám sát chất lượng định kỳ và hội chẩn realtime từ Bệnh viện Kyoto Min-iren trong những trường hợp cần thiết, đảm bảo quy trình chuẩn Nhật: Soi kỹ, soi đúng, không bỏ sót
Khi có rủi ro sức khỏe, Bernard giúp khách hàng an tâm bằng cách kích hoạt hội chẩn đa chuyên khoa (Tumor Board), tư vấn lựa chọn phương án điều trị, hỗ trợ kết nối điều trị, đồng hành cùng khách hàng và gia đình tại các bệnh viện chuyên khoa hàng đầu trong nước & Nhật Bản khi cần thiết.
TTƯT – BS.CKII Trần Đoàn Đạo, Chủ tịch Hội đồng Y khoa Bernard Healthcare chia sẻ:“Trong tầm soát chuyên sâu, đặc biệt với các bệnh lý ung thư, yếu tố quyết định không chỉ là thiết bị hiện đại, mà là đội ngũ chuyên gia đa chuyên khoa cùng đánh giá tổng thể và đa chiều, giúp chẩn đoán chính xác, tránh bỏ sót tổn thương và hạn chế tối đa việc lạm dụng kỹ thuật không cần thiết.”
Một lần tầm soát hôm nay để những ngày bên gia đình luôn trọn vẹn bình an. Đặt lịch tầm soát chuyên sâu ung thư Nhật Bản tại Bernard qua hotline 028 3535 2468 hoặc tư vấn trực tuyến TẠI ĐÂY.




