Đi khám sức khỏe, kịp thời phát hiện u tuyến ức dù không có triệu chứng hô hấp nào
30/11/2024
Không có triệu chứng bất thường không đồng nghĩa với việc cơ thể hoàn toàn khỏe mạnh. Đó là lý do tại sao, các bác sĩ luôn khuyến nghị người dân nên thăm khám sức khỏe chuyên sâu, tầm soát ung thư định kỳ ít nhất mỗi năm 1 lần.
Gần đây, khách hàng nữ T.H. (53 tuổi) đã lựa chọn Bernard làm điểm đến kiểm tra sức khỏe chuyên sâu cho bản thân. Trước khi đến khám, chị H. không có bất kỳ dấu hiệu hay triệu chứng khó chịu nào liên quan đến tim mạch, hô hấp hay lồng ngực.
Phát hiện tổn thương bất thường ở phổi dù không có triệu chứng hô hấp
Qua thăm khám sơ bộ ban đầu, chị H. không có dấu hiệu bất thường nào ở hệ hô hấp và phổi. Phổi trong, âm phế bào đều, không có tiếng rales (ran) bệnh lý.
Tuy nhiên khi đánh giá về tuổi tác và các bệnh lý nền chị H. đang mắc phải, như rối loạn mỡ máu, men gan cao, suy giãn tĩnh mạch và viêm dạ dày mạn, bác sĩ Bernard đã nhấn mạnh tầm quan trọng của việc kiểm tra sức khỏe toàn diện và khuyến nghị chị H. thực hiện để phát hiện sớm các tổn thương nguy hiểm tiềm tàng.
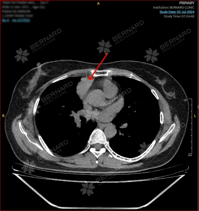
Sau đó, chị H. được chỉ định thực hiện các xét nghiệm và một số cận lâm sàng chuyên sâu cần thiết, trong đó có chụp CT lồng ngực. Kết quả phim chụp ghi nhận có một tổn thương bất thường ở phổi.

Cụ thể:
- Có cấu trúc choán chỗ trung thất trước cạnh phải (P) tim, đường kính (d) 2.2 x 4.0 cm, đậm độ trung bình, bắt quang trung bình, không đồng nhất.
- Khối bất thường trên chưa cho thấy có sự thấy xâm lấn tổn thương vào các cấu trúc lân cận.
Từ đây, Bác sĩ Bernard nghĩ nhiều đến U tuyến ức bao gồm U Thymoma, không loại trừ U Lymphoma.
U tuyến ức rất dễ chuyển thành ung thư
U tuyến ức ở giai đoạn đầu hình thành hầu như không xuất hiện triệu chứng bệnh rõ rệt. Thậm chí một vài trường hợp bệnh nhân không hề có triệu chứng cho đến khi khối u đã tiến triển nặng. Điều đáng nói là ngay cả những khối u tuyến ức dạng lành tính hoàn toàn có thể tiến triển thành ác tính nếu không được phát hiện và điều trị kịp thời. Chính vì vậy, việc chẩn đoán và điều trị sớm các khối u tuyến ức là ưu tiên hàng đầu.
Theo Tổ chức Y tế Thế giới (WHO), khối u tuyến ức được phân chia thành các loại sau:
- Type A: Khối u lành tính nhưng rất hiếm gặp, chúng có dạng hình bầu dục hoặc hình trục chính. Tiên lượng sống của người bệnh thường trên 15 năm.
- Type AB: Khối u tuyến ức hỗn hợp (lành tính). Tiên lượng sống của bệnh nhân trên 15 năm khoảng 90%.
- Type B1: Khối u tuyến ức giàu tế bào lympho (lành tính). Tiên lượng sống của bệnh nhân trên 20 năm khoảng 90%.
- Type B2: Khối u chứa nhiều tế bào lympho, các tế bào biểu mô lớn nhưng phần nhân tế bào phát triển bất thường. Tỷ lệ bệnh nhân sống trên 20 năm khoảng 60%.
- Type B3: Những khối u tuyến ức biểu mô, u tuyến ức dạng vảy, u tuyến ức không điển hình hoặc ung thư biểu mô tuyến ức biệt hóa. Tỷ lệ bệnh nhân sống trên 20 năm chỉ chiếm khoảng 40%.
- Type C: U tuyến ức ác tính (ung thư biểu mô tuyến ức), chứa các tế bào đột biến gen tích tụ và gây tổn thương cho tuyến ức. Nếu bệnh nhân phát hiện và điều trị bệnh kịp thời thì khả năng sống sót sau điều trị khá cao, nhưng tiên lượng sống qua 5 năm chỉ khoảng 30%.
Bernard kích hoạt hội chẩn với bác sĩ đầu ngành, thống nhất phương án điều trị, lập kế hoạch theo dõi sức khỏe sau điều trị cho bệnh nhân
Thông qua các kết quả cận lâm sàng và lâm sàng, Hội đồng Y khoa Bernard đã hội chẩn cùng TS. BS. CKII Nguyễn Viết Đăng Quang (Chuyên gia Phẫu thuật Lồng ngực, Tổng thư ký Hội phẫu thuật lồng ngực Việt Nam) và các bác sĩ chuyên khoa liên quan nhằm đưa ra chẩn đoán cho tình trạng của chị H.
Các bác sĩ đánh giá: Tình trạng u tuyến ức ở nữ bệnh nhân tuy không hiếm gặp nhưng nếu để lâu hơn nữa thì khả năng diễn biến nghiêm trọng, đi kèm tỷ lệ tử vong cao. Trong khi đó, đối với trường hợp được phát hiện bệnh từ giai đoạn sớm, tiên lượng sống sau 5 năm có thể lên tới 90%.
Để điều trị khối u này, Hội đồng Y khoa Bernard đã thống nhất: Giới thiệu bệnh nhân đến Bệnh viện Chợ Rẫy để thực hiện phẫu thuật robot cắt toàn bộ tuyến ức và khối u. Kết quả giải phẫu bệnh xác định đây là U tuyến ức type B2. Bệnh nhân được chỉ định thực hiện hóa trị và xạ trị bổ sung.
Không chỉ dừng ở việc phát hiện bệnh và hỗ trợ chị H. điều trị tại bệnh viện tuyến đầu, Bernard Healthcare còn theo sát quá trình điều trị và hồi phục của bệnh nhân. Bác sĩ Bernard đã xây dựng kế hoạch chăm sóc và theo dõi sức khỏe một cách tỉ mỉ, đảm bảo bệnh nhân được hỗ trợ đầy đủ trong suốt quá trình điều trị và sau điều trị. Sự đồng hành này giúp bệnh nhân an tâm hơn và tăng cơ hội sống sót nhờ phát hiện và can thiệp kịp thời.

Tại Bernard Healthcare cũng đã phát hiện nhiều trường hợp có tổn thương tiền ung thư và ung thư ở nhiều bộ phận (gan, phổi, tuyến giáp,...) dù người bệnh không gặp bất kỳ vấn đề sức khỏe nào. Ca bệnh u tuyến ức nêu trên một lần nữa là bằng chứng cho việc “không có dấu hiệu bất thường, không đồng nghĩa với việc chúng ta đang khỏe mạnh”. Do đó, bên cạnh việc duy trì lối sống lành mạnh, đừng quên lập kế hoạch để khám sức khỏe và tầm soát chuyên sâu ung thư định kỳ.
☎️ Chủ động tầm soát chuyên sâu ung thư tại Bernard Healthcare - Chủ động sống khỏe ngay hôm nay. Đặt lịch tầm soát qua hotline 028 3535 2468 hoặc để lại thông tin nhận tư vấn TẠI ĐÂY.
TẦM SOÁT CHUYÊN SÂU UNG THƯ BẰNG CÔNG NGHỆ CAO, MÔ HÌNH NINGEN DOCK 70 NĂM NHẬT BẢN TẠI BERNARD HEALTHCARE
1. Giúp phát hiện SỚM, KỊP THỜI, KHÔNG BỎ SÓT: Tổn thương - Tiền ung thư - Ung thư, đặc biệt giai đoạn sớm (ung thư tại chỗ).
2. Đội ngũ bác sĩ đa chuyên khoa dày dặn kinh nghiệm.
3. Quy trình các trạm chặt chẽ; kết cấu gói khám toàn diện: đầy đủ xét nghiệm; nội soi, thăm dò chức năng… Đặc biệt chẩn đoán hình ảnh với hệ thống “mắt thần” MRI tích hợp trí tuệ nhân tạo; CT Scan; siêu âm… giúp hạn chế bỏ sót sang thương, tổn thương.
4. Công nghệ y khoa hiện đại, đồng bộ: dựng hình chuyên sâu giúp tăng cường phát hiện SỚM bất thường, tổn thương, tiền ung thư… Quản lý lưu trữ hồ sơ bệnh án dài hạn giúp dễ dàng so sánh, đánh giá diễn biến sức khỏe qua các lần thăm khám; đặc biệt trong theo dõi tiến triển bệnh.
5. Kiểm tra chéo kết quả MRI, CT scan và giám sát chất lượng nghiêm ngặt, trực tiếp bởi Bệnh viện Đại học Yamanashi (Nhật).
6. Trong trường hợp nghi ngờ hoặc phát hiện bất thường, Hội đồng y khoa Bernard kích hoạt quy trình hội chẩn đa chuyên khoa với các chuyên gia đầu ngành trong và ngoài nước (Nhật Bản). Sẵn sàng đồng hành cùng bệnh nhân và gia đình, đặc biệt các bệnh lý ung thư tại các bệnh viện đầu ngành Nhật Bản.
7. Quy trình 3 lớp chặt chẽ: Đọc - Kiểm tra chéo - Thảo luận chuyên môn giữa Bernard Healthcare & Bệnh viện ĐH Yamanashi (Nhật Bản)
◽Lớp thứ nhất: Hai bên tiến hành đọc kết quả chẩn đoán hình ảnh (MRI, CT) song song và độc lập.
◽Lớp thứ hai: Trường hợp có nghi ngờ bệnh lý phức tạp như ung thư, mỗi bên sẽ kích hoạt quy trình hội chẩn/ đọc chéo nội bộ bởi các bác sĩ CĐHA cùng bác sĩ lâm sàng/ Hội đồng Y khoa trước khi trả kết quả.
◽Lớp thứ ba: Trong trường hợp có sự khác biệt kết quả, hai bên sẽ thảo luận trực tuyến. Nếu sau hội chẩn vẫn chưa có sự đồng thuận, Bernard sẽ chịu trách nhiệm thông báo kết quả cuối cùng cho bệnh nhân, đồng thời cung cấp đầy đủ thông tin về kết quả đánh giá từ phía Bệnh viện ĐH Yamanashi để đảm bảo minh bạch.





.png?w=500)