Chụp cộng hưởng từ (MRI) sọ não – Phát hiện sớm tổn thương tiềm ẩn, bảo vệ não bộ từ khi còn khỏe mạnh
12/11/2025
Trong lĩnh vực chẩn đoán hình ảnh hiện đại, chụp cộng hưởng từ (MRI) sọ não được xem là kỹ thuật tiên tiến nhất trong khảo sát não bộ. Với khả năng hiển thị chi tiết cấu trúc mô mềm, mạch máu và các biến đổi vi thể, MRI không chỉ giúp phát hiện sớm các tổn thương mà còn đóng vai trò quan trọng trong việc lập kế hoạch điều trị và theo dõi tiến triển bệnh lý thần kinh.
Hiển thị chi tiết cấu trúc não mà không cần can thiệp xâm lấn
Không giống các kỹ thuật sử dụng tia X (như CT), MRI tạo ảnh bằng từ trường mạnh kết hợp sóng radio, hoàn toàn không gây phơi nhiễm bức xạ. Điều này giúp bác sĩ khảo sát não bộ một cách an toàn, đặc biệt ở người cần chụp kiểm tra định kỳ hoặc người có bệnh lý mạn tính.
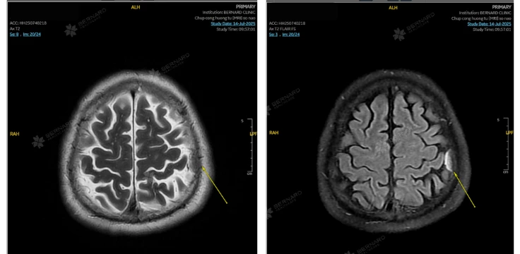
MRI sọ não cho phép dựng ảnh đa mặt phẳng (axial, sagittal, coronal) và tái tạo hình ảnh ba chiều, giúp quan sát rõ ràng từng cấu trúc như tiểu não, thân não, các thùy vỏ não, xoang tĩnh mạch, mạch máu não, tuyến yên, dây thần kinh sọ… Độ tương phản cao giữa các mô giúp phát hiện những tổn thương chỉ vài milimet – điều mà CT thường không cho thấy.
So với CT Scan hay các phương pháp truyền thống, MRI cho phép tái hiện hình ảnh với độ phân giải cao, phát hiện tổn thương nhỏ ở kích thước chỉ vài milimet. Đây là công cụ quan trọng giúp bác sĩ đánh giá toàn diện tình trạng não và mạch máu não, bao gồm:
- U màng não, u tuyến yên, u não lành và ác tính
- Nhồi máu não nhỏ hoặc đột quỵ thầm lặng
- Dị dạng, phình hoặc tắc nghẽn mạch máu não
- Tổn thương sau chấn thương, viêm não, teo não
Phát hiện các bệnh lý thoái hóa và rối loạn chức năng não
MRI sọ não hiện nay không chỉ dừng ở phát hiện tổn thương cấu trúc mà còn cho phép đánh giá chức năng não (fMRI) – ghi nhận hoạt động của các vùng não khi bệnh nhân thực hiện nhiệm vụ nhất định. Kỹ thuật này hỗ trợ chẩn đoán và theo dõi bệnh Alzheimer, Parkinson, động kinh, sa sút trí tuệ hoặc rối loạn tuần hoàn não mạn tính.
Ở người trung niên có tiền sử tăng huyết áp, rối loạn lipid máu, đái tháo đường hoặc stress kéo dài, MRI có thể phát hiện vi tổn thương mạch máu nhỏ (microvascular disease) - dấu hiệu sớm của thoái hóa thần kinh và suy giảm trí nhớ.
Phát hiện sớm bệnh lý mạch máu não và nguy cơ đột quỵ
Một trong những giá trị lớn nhất của MRI sọ não là khả năng khảo sát mạch máu và tưới máu não mà không cần tiêm thuốc tương phản từ.
- Kỹ thuật MRA (Magnetic Resonance Angiography) cho phép dựng hình hệ mạch máu não 3D, phát hiện phình mạch, dị dạng mạch, hẹp mạch não do xơ vữa hay huyết khối.
- Kỹ thuật MRI tưới máu (Perfusion MRI) đo lường lưu lượng máu đến từng vùng não, giúp phát hiện sớm vùng thiếu máu trước khi xảy ra nhồi máu não - yếu tố tiên quyết trong dự phòng đột quỵ.
Ngoài ra, MRI khuếch tán (DWI) giúp phát hiện ổ nhồi máu não chỉ sau vài phút, sớm hơn nhiều so với CT thông thường. Nhờ đó, bác sĩ có thể can thiệp kịp thời trước khi tổn thương trở nên không thể phục hồi.
Phân biệt u lành, u ác và theo dõi sau điều trị
Đối với bệnh lý u não, MRI cho phép đánh giá chi tiết vị trí, kích thước, giới hạn khối u và mối liên quan với mô lành xung quanh.
Kỹ thuật MRI khuếch tán xung (DWI/DWIBS) và chụp cộng hưởng từ phổ (MRS – MR Spectroscopy) còn giúp phân tích đặc tính tế bào học và chuyển hóa của khối u, hỗ trợ phân biệt giữa u lành – u ác, hay giữa tổn thương tái phát với mô sẹo sau xạ trị. Đây là cơ sở để bác sĩ đưa ra phác đồ điều trị chính xác và giảm thiểu can thiệp không cần thiết.
Ai nên chụp MRI sọ não?Các bác sĩ khuyến nghị, những người có một hoặc nhiều yếu tố sau đây nên chủ động thực hiện chụp MRI sọ não định kỳ:
|
Ứng dụng công nghệ MRI tiên tiến tại Bernard Healthcare
Tại Bernard Healthcare, khách hàng được chụp MRI sọ não trên hệ thống MRI 1.5 Tesla SIGNA™ Creator – phiên bản thế hệ mới nhất của GE Healthcare (Mỹ). Đây là công nghệ hiện đại được ứng dụng tại nhiều trung tâm y khoa lớn trên thế giới, với ưu điểm:
- Hình ảnh độ phân giải cao, giúp phát hiện tổn thương vi mô chính xác
- Thời gian chụp nhanh, chỉ 15–30 phút cho một vùng khảo sát
- Có thể khảo sát mà không cần tiêm thuốc tương phản, đảm bảo an toàn tối đa
- Cho phép dựng hình 3D mạch máu não, hỗ trợ đánh giá toàn diện tuần hoàn não
Tất cả hình ảnh được lưu trữ và phân tích trên hệ thống PACS đồng bộ, phục vụ cho quá trình hội chẩn và so sánh kết quả trong các lần kiểm tra sau.
Tại Bernard Healthcare, quy trình chụp MRI sọ não được cá nhân hóa cho từng người bệnh, có bác sĩ chuyên khoa thần kinh và bác sĩ chẩn đoán hình ảnh trực tiếp tư vấn, theo dõi và hội chẩn đa chuyên khoa khi cần thiết.
Bernard Healthcare còn hợp tác chuyên môn cùng Bệnh viện Đại học Yamanashi (Nhật Bản) kiểm soát chất lượng MRI, CT Scan trong các gói khám chuyên sâu hoặc theo nhu cầu của khách hàng theo quy trình 3 lớp chặt chẽ:
- Lớp 1: Đọc kết quả độc lập
- Lớp 2: Tham vấn ý kiến thứ hai (Second opinion)/ Hội chẩn nội bộ
- Lớp 3: Hội chẩn trực tuyến giữa hai bên
Nhờ đó, mỗi kết quả MRI tại Bernard đều được đánh giá kỹ lưỡng, tăng độ tin cậy trong chẩn đoán và định hướng điều trị.
Để được tư vấn chi tiết, bạn có thể điền thông tin TẠI ĐÂY hoặc liên hệ trực tiếp qua hotline 028 3535 2468.




