Từ những lần đi cầu khác thường đến phát hiện ung thư trực tràng giai đoạn tiến triển
24/07/2025
“Lúc đầu chỉ là ăn uống không ngon, đau lâm râm bụng. Rồi dần thì bị sụt cân, đi cầu nhiều lần mà vẫn thấy chưa hết, phân cứ mỏng như lá lúa,... Nhưng tôi chỉ nghĩ chắc tại mình lớn tuổi rồi”. Thế nhưng, ngược với những suy nghĩ này, đây lại là dấu hiệu của bệnh lý đường tiêu hóa nghiêm trọng mà ông N.C.N (79 tuổi) đang mắc phải!
“Tôi cứ nghĩ là do tuổi già…”
Ở cái tuổi mà người ta thường mặc định rằng sức khỏe đi xuống là chuyện tất nhiên, ông N. cũng đã tự trấn an bản thân qua từng dấu hiệu nhỏ. Sụt cân? Do ăn uống không đều. Khó chịu bụng? Có thể là rối loạn tiêu hóa.
Nhưng đến khi thấy phân thay đổi rõ rệt - dẹt, nhỏ, thi thoảng có dính kèm máu, ông mới bắt đầu cảm thấy bất an và quyết định đến Bernard để kiểm tra sức khỏe.
Sau khi tiếp nhận sơ bộ, bác sĩ Bernard đã chỉ định bệnh nhân thực hiện các xét nghiệm kiểm tra chuyên sâu, trong đó có nội soi toàn bộ đại trực tràng bằng ống mềm không đau để khảo sát rõ hơn tổn thương niêm mạc nếu có. Đồng thời có thể kết hợp sinh thiết nhằm xác định bản chất tổn thương hoặc điều trị ngay trong quá trình nội soi.
Kết quả nội soi phát hiện: Tại đoạn trực tràng cách hậu môn khoảng 14–18cm có một tổn thương u sùi, nhiễm cứng.
Mẫu sinh thiết lấy ngay trong lúc nội soi nhanh chóng được gửi đi giải phẫu bệnh. Kết quả ghi nhận hình ảnh tân sản tế bào tuyến, nhân dị dạng ái kiềm, tỉ lệ N/C > 1, các tế bào xếp thành tuyến không điển hình, xác nhận tổn thương tại trực tràng là ung thư, dạng Carcinoma tuyến biệt hóa trung bình.
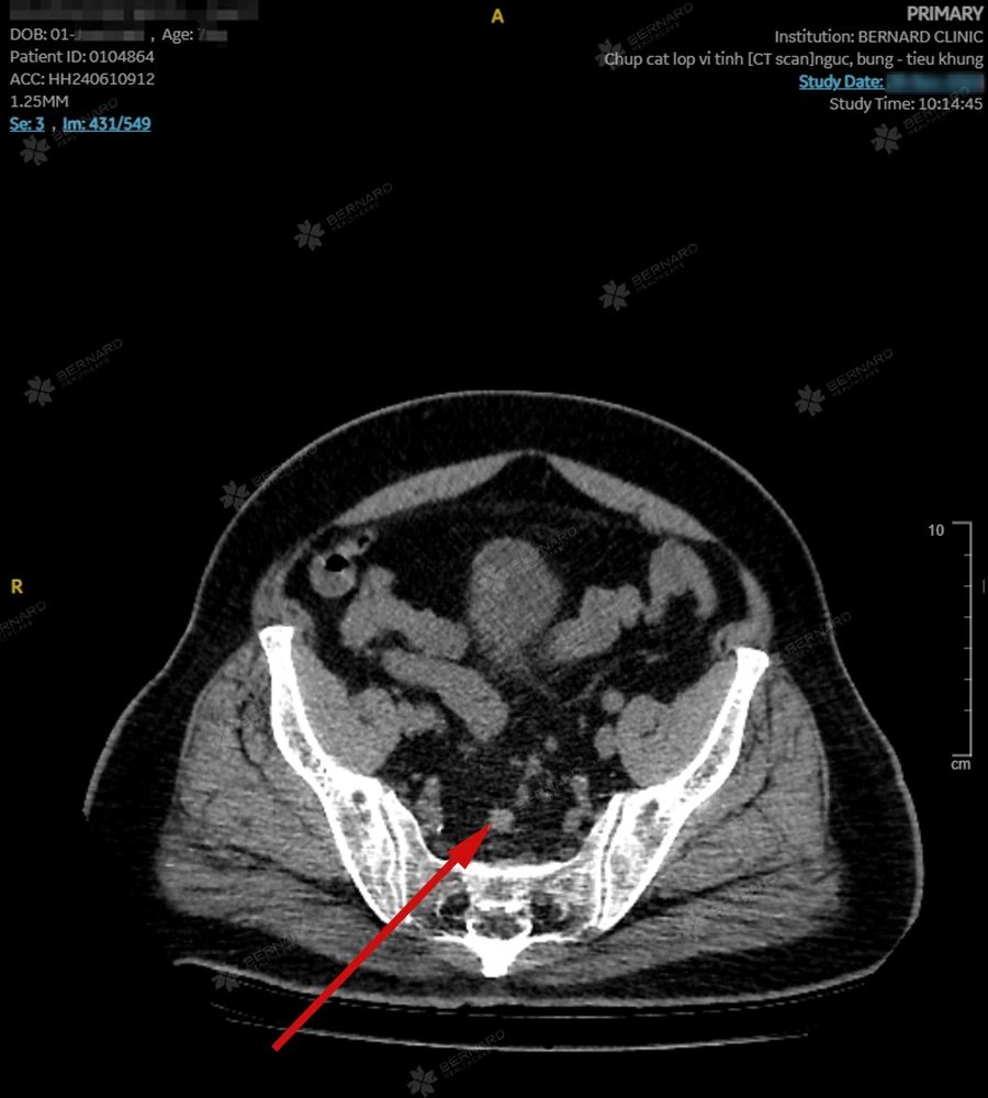
Ngoài ra, bệnh nhân còn thực hiện CT Scan vùng bụng - tiểu khung. Kết quả lớp cắt ghi nhận: Dày không đều thành trực tràng giữa-cao, dmax # 1.6cm, kéo dài một đoạn # 5cm, hình ảnh thể hiện dấu hiệu thâm nhiễm, kèm vài hạch nhỏ mô mỡ quanh trực tràng, dmax # 7mm.
Ngay khi ghi nhận đây là ca bệnh nghiêm trọng, Hội đồng Y khoa Bernard đã lập tức kích hoạt hội chẩn giữa các bác sĩ Nội khoa, bác sĩ Ngoại khoa và bác sĩ Chẩn đoán hình ảnh.
Trường hợp của ông N. được đánh giá đầy đủ từ các khía cạnh lâm sàng, cận lâm sàng đến chiến lược xử trí. Sau đó, ông N. được tư vấn chi tiết và hỗ trợ chuyển tiếp đến bệnh viện chuyên khoa ung bướu để tiếp tục điều trị theo phác đồ phù hợp.
Đi cầu phân dẹt - Dấu hiệu tuy nhỏ nhưng không nên bỏ qua
Phân là “sản phẩm cuối” của hệ tiêu hóa, bất kỳ sự thay đổi nào về hình dạng, màu sắc hay tần suất đi cầu cũng đều phản ánh tình trạng sức khỏe đường ruột.
Ở người không gặp bệnh lý về đường ruột, phân thường có hình dạng trụ tròn, không quá mềm cũng không quá cứng. Dấu hiệu đi cầu phân dẹt có thể do các nguyên nhân khác như táo bón hoặc thay đổi chế độ ăn uống.
Tuy nhiên, nếu tình trạng phân dẹt lặp đi lặp lại nhiều ngày, bạn cần lưu ý. Bởi khi khối u phát triển trong lòng đại tràng hoặc trực tràng, nó có thể làm hẹp đường ruột, khiến phân trở nên nhỏ, dẹt hoặc có hình dạng bất thường. Ngoài ra, nếu đính kèm cảm giác chưa đi hết phân, phân có máu, sụt cân không rõ lý do, ăn uống kém,... bạn cần đi khám ngay lập tức.
Nội soi đại trực tràng là phương pháp chính xác để phát hiện sớm polyp, tổn thương tiền ung thư và ung thư giai đoạn đầu. Nếu được phát hiện sớm và điều trị kịp thời, tiên lượng sống sau 5 năm có thể trên 90%. Vì vậy, dù không có triệu chứng tiêu hóa bất thường và từ 40 tuổi trở lên, bạn vẫn nên kiểm tra định kỳ bằng nội soi” - Bác sĩ Bernard chia sẻ.

Nội soi tiêu hóa chuẩn Nhật: Êm ái, tỉ mỉ, tránh bỏ sót tại Bernard Healthcare
Kế thừa tinh thần y khoa Nhật Bản và hợp tác chuyên môn với Bệnh viện Trung ương Kyoto Min-iren, Bernard triển khai nội soi tiêu hóa chuyên sâu chuẩn Nhật ngay tại TP.HCM.
- Quy trình kiểm tra chéo với chuyên gia từ Bệnh viện Trung ương Kyoto Miniren (Nhật Bản).
- Giới hạn số ca nội soi trong ngày để đảm bảo chất lượng từng ca. Thời gian soi tối thiểu 7 phút/dịch vụ (chưa kể thời gian can thiệp thủ thuật). Chụp đầy đủ hình ảnh các vị trí theo yêu cầu, và lưu trữ lại video để phục vụ kiểm tra chéo.
- Hệ thống nội soi Fujifilm BL-7000 hiện đại, sử dụng công nghệ quang học phóng đại với độ phân giải cao, ánh sáng xanh laser (BLI), kết hợp dải màu (LCI) giúp phát hiện sớm tổn thương tiền ung thư.
- Tiến sĩ - Bác sĩ Phạm Thị Lệ Xuân, nguyên Trưởng khoa Gây mê hồi sức phẫu thuật tim, Bệnh viện Chợ Rẫy cùng ekip gây mê giàu kinh nghiệm đồng hành trong suốt quá trình nội soi.
- Quy trình kiểm soát nhiễm khuẩn đúng chuẩn với hệ thống máy rửa tự động, kiểm tra đánh giá mỗi ngày và đầy đủ số lượng dây soi đảm bảo đáp ứng thời gian chờ và phục vụ bệnh nhân.
Nếu bạn hoặc người thân đang gặp vấn đề tiêu hóa kéo dài hoặc đơn giản là muốn kiểm tra để yên tâm, đừng đợi đến khi có triệu chứng nghiêm trọng. Đăng ký tư vấn hoặc liên hệ qua hotline (028) 3535 2468 để giữ mức ưu đãi tốt nhất.







