Theo dõi ung thư đầu tụy sau điều trị - Tham vấn ý kiến thứ hai cùng Bệnh viện Đại học Yamanashi (Nhật Bản) tại Bernard Healthcare
22/10/2025
Bệnh nhân N.K.C. (nữ, 59 tuổi) từng được chẩn đoán ung thư đầu tụy (carcinoma tuyến bóng Vater kiểu mật tụy, giai đoạn IIIb – pT3bp N2Mx). Hiện tại, bệnh nhân đang trong giai đoạn theo dõi sau điều trị.
Ung thư đầu tụy là một trong những bệnh lý ác tính có tiên lượng xấu, đặc biệt nếu phát hiện ở giai đoạn muộn. Theo các khuyến cáo Y khoa, sau điều trị phẫu thuật, bệnh nhân cần được theo dõi sát bằng hình ảnh học chuyên sâu như CT hoặc MRI định kỳ để phát hiện sớm những thay đổi bất thường, nguy cơ tái phát hoặc di căn xa.
Tuy nhiên, việc đánh giá hình ảnh đòi hỏi trình độ chuyên môn cao và kinh nghiệm lâm sàng từ bác sĩ chẩn đoán hình ảnh, đặc biệt trong những trường hợp có dấu hiệu không điển hình hoặc khó phân biệt giữa di chứng phẫu thuật và tái phát.
Vì vậy, dù đã thực hiện chụp cắt lớp vi tính (CT scan) bụng tại cơ sở Y tế đang điều trị, bà C. vẫn mong muốn được tham khảo thêm ý kiến chuyên môn thứ hai (second opinion) kết quả để đảm bảo an tâm tuyệt đối về hiệu quả điều trị.
Tham vấn ý kiến thứ hai - Khi bệnh nhân chọn cầu nối Bernard Healthcare và Bệnh viện Đại học Yamanashi
Bà tìm đến Bernard Healthcare - đơn vị y tế tư nhân đang triển khai dịch vụ đọc chéo MRI/CT với Bệnh viện Đại học Yamanashi - Bệnh viện công lập tuyến cuối Nhật Bản (trực thuộc trường Đại học Yamanashi nằm trong top 6,6% trường đại học tốt nhất thế giới), nổi tiếng về chẩn đoán hình ảnh và điều trị ung thư đa mô thức.
Từ hệ thống lưu trữ hình ảnh (PACS) hiện đại, kết quả CT Scan của nữ bệnh nhân được gửi đến các chuyên gia Nhật Bản. Chỉ trong thời gian ngắn, báo cáo chi tiết từ giáo sư – bác sĩ chẩn đoán hình ảnh Bệnh viện Đại học Yamanashi đã được chuyển ngược lại Bernard Healthcare.
Kết quả ghi nhận:
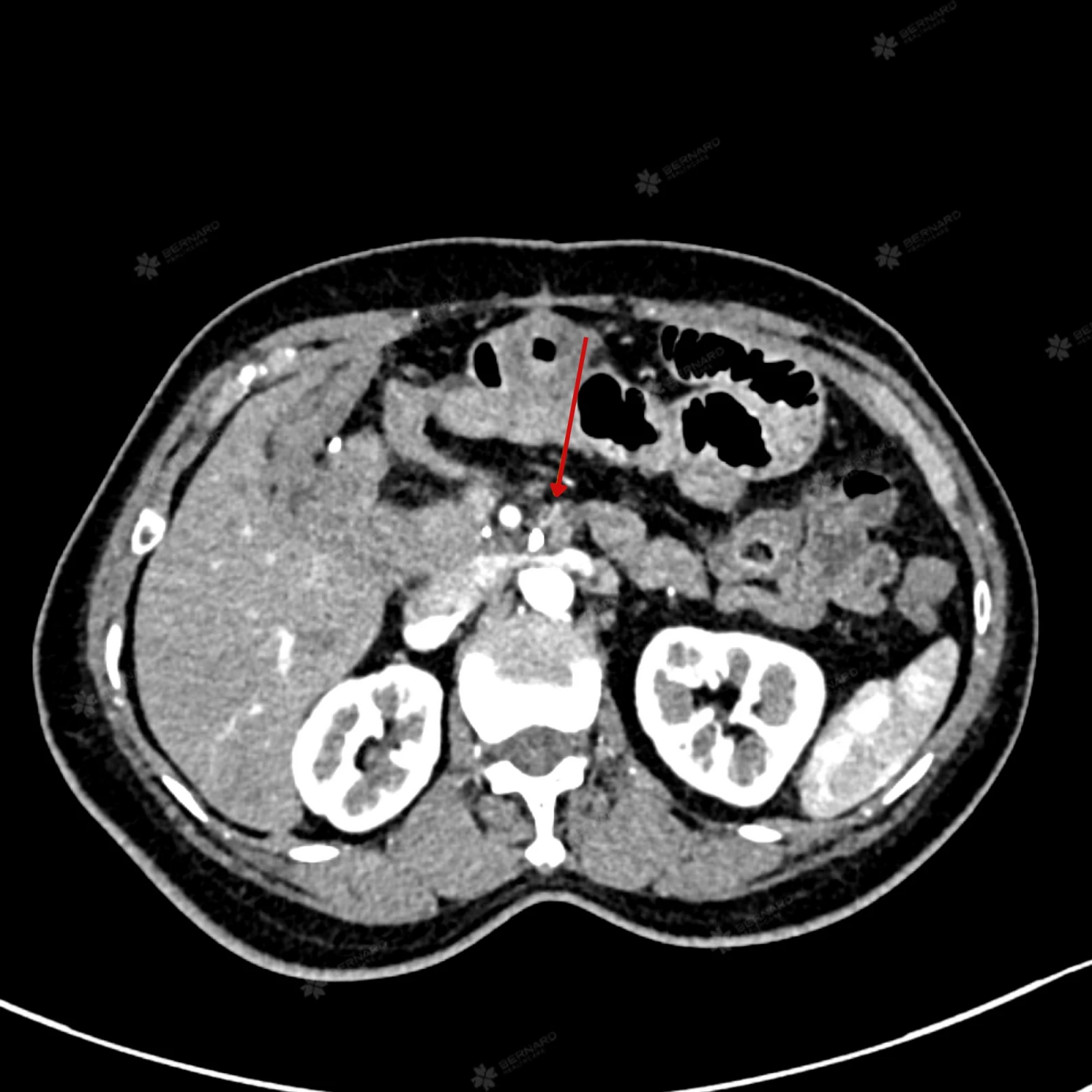
Không phát hiện khối u tại phần tụy còn lại sau phẫu thuật cắt khối tá tụy. Tuy nhiên, phần mô mềm quanh thân tạng và động mạch gan chung, nghi ngờ là biến đổi hậu phẫu, cần theo dõi sát để loại trừ khả năng tiến triển bất thường.
Ngoài ra, ảnh chụp CT vùng bụng của bệnh nhân còn cho thấy hạch to rải rác vùng cạnh động mạch chủ bụng, chưa có bằng chứng rõ về xâm lấn mạch máu nên không thể loại trừ hoàn toàn nguy cơ di căn. Bệnh nhân cần được lên kế hoạch chăm sóc chặt chẽ, tiếp tục theo dõi sát qua hình ảnh và thăm khám chuyên khoa định kỳ.
Đọc chéo CT/MRI cùng Bệnh viện Nhật Bản - Bước tiến trong kiểm soát chất lượng hình ảnh y khoa tại Bernard Healthcare
| Hiện nay tại Bernard Healthcare, 100% kết quả MRI, CT Scan trong các dịch vụ tầm soát toàn diện - chuyên sâu Ningen Dock; Tầm soát ung thư chuyên sâu, nguy cơ đột quỵ, bệnh lý mạch máu,... hoặc theo yêu cầu cá nhân của khách hàng tại Bernard được kiểm soát chất lượng bởi Bệnh viện Đại học Yamanashi theo quy trình 3 lớp chặt chẽ: Đọc - Kiểm tra chéo - Thảo luận chuyên môn giữa Bernard Healthcare & Bệnh viện ĐH Yamanashi (Nhật Bản). |
Tại Bernard Healthcare, dịch vụ đọc chéo CT/MRI cùng Bệnh viện Đại học Yamanashi được triển khai như một phần trong quy trình kiểm soát chất lượng hình ảnh y khoa chuẩn Nhật Bản - Cung cấp thêm một lớp tin cậy, nhờ đó các trường hợp y khoa phức tạp đều được phát hiện sớm và xử lý kịp thời, tránh bỏ sót đến tối đa các bệnh lý nguy hiểm hay tiềm ẩn.
-
Quy trình thuận tiện - không cần chụp lại MRI/CT, không cần gửi CD
Bernard là một trong số ít cơ sở y tế tại Việt Nam ứng dụng hệ thống HIS và PACS chuẩn Nhật Bản, cho phép bác sĩ Yamanashi truy cập trực tiếp và an toàn vào hình ảnh CT/MRI. Người bệnh chỉ cần cung cấp đường dẫn PACS của kết quả CT/MRI (nếu chụp tại cơ sở y tế khác), các chuyên gia Yamanashi có thể đọc và phản hồi kết quả nhanh chóng ngay trong ngày.
Điều này có được nhờ Bernard đã đầu tư đồng bộ thiết bị chẩn đoán hình ảnh và giải pháp công nghệ của GE Healthcare – tập đoàn y tế 150 năm uy tín toàn cầu. Hệ thống tích hợp AI-PACS, cho phép dựng hình chuyên sâu, đọc kết quả từ xa và lưu trữ hình ảnh lâu dài, đáp ứng các tiêu chí khắt khe của mô hình Ningen Dock Nhật Bản trong tầm soát - phát hiện sớm ung thư, nguy cơ đột quỵ và các bệnh lý lối sống, điều trị và theo dõi chuyên sâu.
-
Kết nối trực tiếp với Bệnh viện Đại học Yamanashi
Bernard được phép thiết lập khu vực chẩn đoán hình ảnh ngay trong Trung tâm chẩn đoán hình ảnh của Bệnh viện Đại học Yamanashi, giúp quy trình đọc chéo được kết nối nhanh chóng, bảo mật và chuyên sâu, rút ngắn thời gian phản hồi và đảm bảo chất lượng chuyên môn thống nhất giữa hai bên.
-
Hội chẩn y khoa từ xa cho các ca phức tạp
Trong trường hợp có nghi ngờ bệnh lý phức tạp như ung thư, Bernard Healthcare có thể tham vấn ý kiến thứ hai hoặc kích hoạt hội chẩn từ xa với phía Bệnh viện Đại học Yamanashi.
Hai bên cùng phân tích hình ảnh, trao đổi chuyên sâu, đa chiều, phù hợp với từng tình trạng bệnh lý của bệnh nhân, từ đó hỗ trợ ra quyết định điều trị chính xác và kịp thời cho người bệnh.
-
Mở rộng dịch vụ cho cả khách hàng bên ngoài
Không chỉ dành riêng cho khách hàng thực hiện các dịch vụ Ningen Dock, tầm soát chuyên sâu ung thư, nguy cơ đột quỵ, bệnh lý mạch máu,... tại Bernard, dịch vụ đọc chéo MRI, CT với Bệnh viện Đại học Yamanashi cũng đồng thời mở rộng cho khách hàng bên ngoài, hỗ trợ xác minh lại kết quả chẩn đoán từ các cơ sở y tế khác. Nhờ vậy, bất kỳ ai cũng có thể tiếp cận ý kiến chuyên môn thứ hai từ Nhật Bản, đảm bảo sự an tâm và độ chính xác cao nhất trong chẩn đoán hình ảnh.
|
Tiêu chuẩn hình ảnh – nền tảng cho độ chính xác của kết quả đọc chéo Tại Bernard Healthcare, tất cả hình ảnh CT và MRI đều phải đạt chuẩn chất lượng nghiêm ngặt do Bệnh viện Đại học Yamanashi quy định và kiểm soát. Nhờ đó, mỗi kết quả khi chuyển sang phía bệnh viện để đọc chéo đều đảm bảo độ phân giải, chi tiết và độ tin cậy cao nhất, phục vụ cho việc chẩn đoán chính xác. Trong trường hợp người bệnh có kết quả chụp từ cơ sở y tế khác, Bernard và Yamanashi sẽ đánh giá chất lượng hình ảnh trước khi thực hiện đọc chéo, nhằm bảo đảm hình ảnh đạt chuẩn kỹ thuật cần thiết cho việc phân tích nhằm đảm bảo sự đồng bộ về chuyên môn và độ chính xác trong kết quả. |









