Phát hiện khối u mạc treo hiếm gặp khi khám sức khỏe tổng quát tại Bernard Healthcare
15/01/2026
Đây là dạng tổn thương rất hiếm, diễn tiến âm thầm và chỉ có thể được phát hiện khi quá trình thăm khám được thực hiện bài bản, với sự hỗ trợ của hệ thống chẩn đoán hình ảnh hiện đại và bác sĩ có kinh nghiệm xử lý các ca phức tạp.
Anh P.V.T (53 tuổi) là một người hoàn toàn khỏe mạnh, không ghi nhận triệu chứng bất thường về tiêu hóa hay toàn thân.
Qua chia sẻ ban đầu, bác sĩ ghi nhận anh T. có tiền căn gan nhiễm mỡ và rối loạn lipid máu nhưng không quá nghiêm trọng. Ngoài ra, còn có thói quen sử dụng rượu bia thường xuyên do tính chất bắt buộc của công việc.
Trong khuôn khổ gói khám sức khỏe tổng quát tại Bernard, anh T. được thực hiện siêu âm bụng nhằm kiểm tra các bệnh lý cơ quan trong ổ bụng. Kết quả ghi nhận một khối giảm âm tại vùng mạc treo ruột dưới rốn, kích thước khoảng 63x35x53mm, bờ đều, giới hạn rõ, không ghi nhận tăng sinh mạch máu. Tổn thương được nghi ngờ là u mạc treo, chưa rõ bản chất, cần theo dõi theo hướng u mô đệm đường tiêu hóa (GIST).
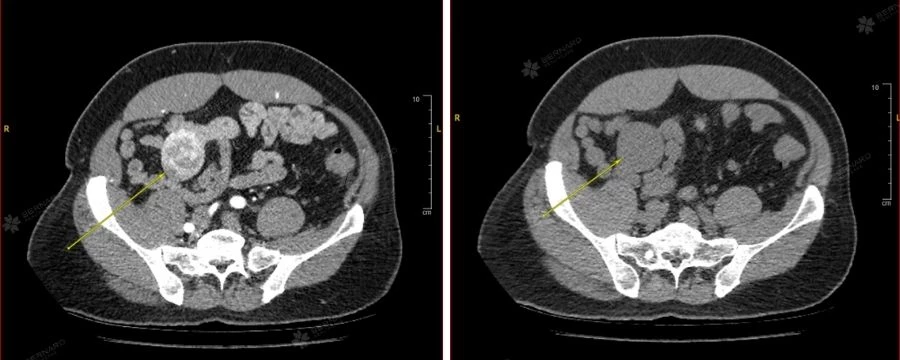
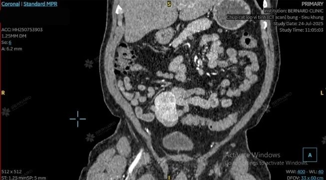
Cùng đánh giá nam khách hàng có nhiều yếu tố nguy cơ về tuổi tác, thói quen sinh hoạt, tiền căn bệnh lý liên quan nội tiết, chuyển hóa và tiêu hóa gan mật, bác sĩ Bernard đã tư vấn bệnh nhân chụp cắt lớp vi tính (CT Scan) bụng - tiểu khung có cản quang nhằm xác định rõ tính chất khối u và mức độ ảnh hưởng đến cơ quan lân cận.
Hình ảnh CT cho thấy tổn thương choán chỗ lớn vùng hố chậu phải, có kích thước 40 x 47 x 65mm (ngang x trước x sau), giới hạn bờ rõ, không xâm lấn xung quanh. Những đặc điểm trên phù hợp với u mạc treo (mesenteric tumors).
Loại u này phát sinh từ bất kỳ thành phần nào của mạc treo như mô mỡ, mô bạch huyết, mô liên kết,... Đây là một dạng khối u rất hiếm gặp, có thể lành tính hoặc ác tính. Tỷ lệ mắc chỉ khoảng 1/100.000 - 1/250.000 người.
Tổn thương hiếm gặp rất khó phát hiện nếu chỉ qua thăm khám thông thường
Các bác sĩ Bernard cho biết, phẫu thuật cắt bỏ hoàn toàn u mạc treo ruột là phương pháp triệt để và hiệu quả nhất.
U mạc treo có thể gặp ở mọi lứa tuổi, từ trẻ sơ sinh đến người cao tuổi. Do không liên quan trực tiếp đến lòng ống tiêu hóa nên các triệu chứng từ loại u này thường không đặc hiệu. Nhiều trường hợp chỉ được phát hiện với sự hỗ trợ của hệ thống chẩn đoán hình ảnh hiện đại như siêu âm, CT Scan và bác sĩ có kinh nghiệm xử lý các ca phức tạp.
Nếu không được phát hiện và theo dõi kịp thời, loại u này có thể dẫn đến các biến chứng nguy hiểm như tắc ruột, xoắn ruột, nhồi máu ruột hoặc chèn ép cơ quan lân cận. Đặc biệt u mạc treo ác tính có tiên lượng xấu hơn do thường được phát hiện muộn và có khả năng di căn.
Ở trường hợp của anh T., mặc dù tổn thương hiện tại không có dấu hiệu ác tính rõ, nhưng cần theo dõi nguy cơ tiến triển chặt chẽ và cân nhắc can thiệp phẫu thuật. Bệnh nhân sau đó được hỗ trợ đến bệnh viện chuyên khoa sâu về Tiêu hóa để kịp thời có kế hoạch quản lý và điều trị phù hợp.
CT Scan bụng - tiểu khung: Công cụ quan trọng trong chẩn đoán và đánh giá các tổn thương vùng ổ bụngCT Scan bụng - chậu là phương tiện chẩn đoán hình ảnh có độ chính xác cao trong khảo sát toàn bộ ổ bụng, cho phép quan sát rõ cấu trúc các cơ quan đặc như gan, tụy, lách, thận, mạc treo, mạch máu cũng như hệ thống tiêu hóa. Với khả năng dựng hình 3D và độ phân giải cao, CT Scan giúp bác sĩ nhìn rõ cấu trúc khối u và hệ mạch nuôi u, từ đó có thể chẩn đoán các bất thường nhỏ, tổn thương sâu hoặc nằm ở vị trí khó tiếp cận như khối u mạc treo, hạch ổ bụng, tổn thương mạch máu, viêm – tắc – xoắn ruột hay biến chứng xuất huyết, nhồi máu; đánh giá giai đoạn bệnh (staging); lên kế hoạch điều trị phù hợp và theo dõi đáp ứng điều trị trong những lần kiểm tra tiếp theo.
Tại Bernard Healthcare, hệ thống CT Scan hiện đại cùng đội ngũ bác sĩ chẩn đoán hình ảnh giàu kinh nghiệm, đảm bảo độ chính xác cao trong phát hiện và đánh giá các bệnh lý vùng bụng - chậu. Hiện nay, Bernard Healthcare cung cấp dịch vụ CT Scan trong gói tầm soát sức khỏe chuyên sâu và từng bộ phận theo nhu cầu của quý khách. Để được giải đáp chi tiết, quý khách có thể liên hệ qua hotline: 028 3535 2468 hoặc đăng ký tư vấn TẠI ĐÂY. |




.png?w=500)