Phát hiện u nhú nắp thanh môn khi khám sức khỏe định kỳ tại Bernard Healthcare
23/05/2025
Là nhân viên trong một doanh nghiệp có chính sách chăm sóc sức khỏe tốt, anh T. thường xuyên tham gia khám sức khỏe định kỳ hàng năm. Với lịch trình bận rộn của một kỹ sư, những lần khám như vậy thường chỉ là thủ tục. Tuy nhiên, một lần khám gần đây đã thay đổi hoàn toàn cách anh nhìn nhận về việc khám sức khỏe định kỳ.
Phát hiện bất thường từ sự kỹ lưỡng của bác sĩ Bernard
Anh N.D.T, sinh năm 1992, một kỹ sư trẻ tuổi luôn tự hào rằng mình có một sức khỏe ổn định. Anh không hút thuốc, ít khi uống rượu bia và hoàn toàn không có tiền sử bệnh lý nền.
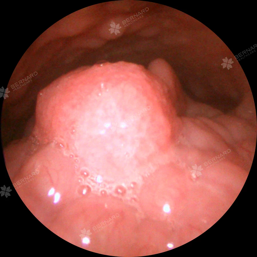
Lần này, anh T. tham gia khám sức khỏe định kỳ tại Bernard Healthcare theo chương trình chăm sóc sức khỏe doanh nghiệp. Mọi hạng mục kiểm tra ban đầu đều không cho thấy vấn đề gì bất thường. Nhưng khi đến phần nội soi Tai Mũi Họng, khu vực hạ họng và thanh quản, bác sĩ nhận thấy một chi tiết nhỏ nhưng đáng ngờ: u nhú tại nắp thanh môn bên phải, ở vị trí thanh nhiệt – xoang lê. Điều đáng nói là niêm mạc vòm họng lại rất sạch sẽ và không có dấu hiệu bất thường.
Kết quả thăm khám này khiến anh T. vô cùng bất ngờ. Anh cho biết, trước đó anh chỉ cảm thấy cổ mình nghẹt nhẹ, nhưng không bị nuốt vướng hay khó thở. Giọng nói của anh cũng hoàn toàn bình thường, không khan giọng hay biến đổi gì đặc biệt. Những triệu chứng thoáng qua này khiến anh không hề nghĩ rằng mình đang mang trong người một khối u.
Khám kỹ lưỡng chính là yếu tố giúp phát hiện khối u lần này. Theo bác sĩ chuyên khoa Tai Mũi Họng Bernard Healthcare, trường hợp của anh T. rất đặc biệt vì anh khá nhạy cảm khi nội soi, dẫn đến việc khảo sát gặp nhiều khó khăn.
Đáng chú ý hơn là năm ngoái anh T. cũng từng nội soi Tai Mũi Họng, nhưng tại một cơ sở y tế khác. Tuy nhiên do cảm giác khó chịu và hạn chế khi thực hiện nội soi, các bác sĩ trước đó không phát hiện ra điều gì bất thường. Hiểu được tâm lý của người bệnh khi thực hiện nội soi, Bác sĩ Bernard không chỉ kiên nhẫn mà còn trấn an anh T. trong suốt quá trình kiểm tra, nhờ đó quá trình nội soi tai mũi họng diễn ra trơn tru và đảm bảo không bỏ sót bất kì tổn thương nào.
Bác sĩ Bernard tư vấn kế hoạch điều trị và theo dõi cho bệnh nhân
Ngay sau khi phát hiện khối u nhú, bác sĩ Tai Mũi Họng Bernard Healthcare đã trao đổi chi tiết với anh T. về tình trạng này. Để đảm bảo sức khỏe lâu dài, anh T. được khuyến nghị tiến hành phẫu thuật cắt bỏ khối u càng sớm càng tốt. Phương pháp này không chỉ giúp loại bỏ hoàn toàn triệu chứng nghẹt nhẹ ở cổ mà còn tạo điều kiện để thực hiện sinh thiết mô bệnh học, xác định bản chất của khối u nhằm đưa ra kế hoạch theo dõi phù hợp sau điều trị.
Dù bất ngờ, anh T. hiểu rằng đây là việc cần làm để bảo vệ sức khỏe về lâu dài. Với sự hướng dẫn của bác sĩ Bernard, anh T. được giới thiệu đến bệnh viện chuyên khoa Tai Mũi Họng uy tín để tiến hành phẫu thuật.
Đồng thời, bác sĩ Bernard đã lên kế hoạch theo dõi sức khỏe hậu phẫu chi tiết cho anh T. Cụ thể: Nội soi sau 2 tuần để khảo sát lại vị trí tổn thương sau điều trị. Nếu kết quả tiến triển tốt, anh T. sẽ tiếp tục nội soi định kỳ sau một tháng để đảm bảo không có bất thường nào tái xuất hiện.
Từ một người ít khi chú trọng đến sức khỏe vì nghĩ mình còn trẻ, giờ đây anh Nam đã thay đổi hoàn toàn quan điểm: Khám sức khỏe định kỳ không chỉ là thủ tục mà còn là “cơ hội vàng” để phát hiện sớm các vấn đề sức khỏe tiềm ẩn.
U nhú nắp thanh môn – Cảnh báo sức khỏe không thể bỏ qua
U nhú nắp thanh môn là một dạng tổn thương lành tính thường xuất hiện ở vùng thanh quản, đặc biệt tại vị trí nắp thanh môn – một phần quan trọng giúp bảo vệ đường thở khỏi dị vật khi nuốt.
U nhú nắp thanh môn thường không gây ra triệu chứng rõ ràng ở giai đoạn đầu. Người bệnh có thể chỉ cảm thấy hơi nghẹt vùng cổ, nuốt vướng nhẹ hoặc khó chịu khi nuốt thức ăn. Trong một số trường hợp, nếu khối u phát triển lớn hơn, nó có thể gây khàn giọng, khó thở hoặc cảm giác vướng víu kéo dài.
Nguyên nhân gây ra u nhú nắp thanh môn có thể liên quan đến virus, đặc biệt là virus HPV (Human Papillomavirus). Ngoài ra, các yếu tố kích thích mạn tính như hút thuốc lá, tiếp xúc với hóa chất độc hại hoặc trào ngược dạ dày - thực quản cũng làm tăng nguy cơ phát triển tổn thương này.
Mặc dù u nhú này hiếm khi tiến triển thành ác tính, nhưng nếu không được điều trị kịp thời, u nhú có thể phát triển lớn hơn, chèn ép đường thở hoặc gây ảnh hưởng đến chức năng phát âm.
Phương pháp chẩn đoán chủ yếu dựa vào nội soi thanh quản, giúp bác sĩ quan sát trực tiếp vị trí tổn thương và đánh giá mức độ ảnh hưởng. Trong trường hợp nghi ngờ, bác sĩ có thể chỉ định sinh thiết mô bệnh học để xác định bản chất u nhú, từ đó lên kế hoạch điều trị phù hợp.
Điều trị u nhú nắp thanh môn thường bao gồm phẫu thuật cắt bỏ khối u để giải quyết triệu chứng và loại bỏ nguy cơ tiềm ẩn. Sau phẫu thuật, bệnh nhân cần được theo dõi định kỳ để đảm bảo không tái phát hoặc xuất hiện biến chứng. Đối với các trường hợp liên quan đến HPV, bác sĩ có thể khuyến nghị tiêm phòng vaccine để giảm thiểu nguy cơ tái phát trong tương lai.
Hãy đến Bernard Healthcare để được kiểm tra sức khỏe từ tổng quát đến chuyên sâu và nhận sự tư vấn tận tình từ đội ngũ bác sĩ giàu kinh nghiệm, cùng một trải nghiệm hoàn toàn khác biệt: không căng thẳng, không chờ đợi.
Liên hệ ngay qua hotline (028) 3535 2468 hoặc điền thông tin nhận tư vấn trực tuyến TẠI ĐÂY.




.png?w=500)
