Ăn uống kém, người phụ nữ phát hiện ung thư đại tràng khi nội soi tiêu hóa tại Bernard Healthcare
09/12/2025
Một nữ khách hàng 70 tuổi được người thân đưa đến Bernard Healthcare để kiểm tra sức khỏe tổng quát. Chính lần kiểm tra tưởng như bình thường này, bác sĩ Bernard đã phát hiện tổn thương đường tiêu hóa nghiêm trọng.
Trong nhiều tháng liền, bà V. (70 tuổi) thường xuyên đi cầu phân nát và có bọt kéo dài kèm biểu hiện ăn uống kém ngon miệng. Ngoài ra, việc bà V. đang điều trị tăng huyết áp ổn định càng khiến gia đình cẩn trọng hơn trước những thay đổi bất thường này và quyết định đưa bà đến Bernard Healthcare khám sức khỏe tổng quát.
Tại Bernard, bà được TTUT. BS CKII. Hồ Thị Hồng - Giám đốc chuyên môn Bernard Healthcare trực tiếp thăm khám. Sau khi khai thác triệu chứng, bác sĩ đánh giá bệnh nhân thuộc nhóm nguy cơ cao mắc các bệnh lý đường tiêu hóa và chỉnh định thực hiện nội soi để khảo sát toàn bộ khung đại tràng.
Trong quá trình khảo sát đường tiêu hóa dưới, bác sĩ nội soi Bernard ghi nhận: Có khối u sùi nhiễm cứng, gây hẹp lòng tại đại tràng phải, khiến ống nội soi không thể đi qua. Theo đúng quy trình, tổn thương được sinh thiết và gửi thực hiện giải phẫu bệnh để làm rõ bản chất.
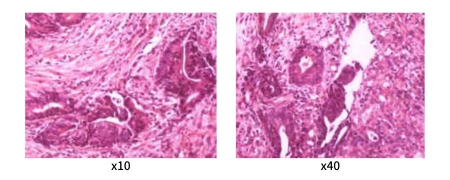
Kết quả giải phẫu tổn thương đại tràng phải cho thấy hình ảnh tân sản tế bào tuyến, nhân dị dạng ái kiềm, tỉ lệ N/C >1, các tế bào xếp thành tuyến không điển hình. Kết luận: Carcinoma tuyến biệt hóa trung bình (ung thư đại tràng).
Đây là loại ung thư bắt nguồn từ các tế bào tuyến của niêm mạc ruột già. Trong thể biệt hóa trung bình, tế bào ung thư có hình dạng và cấu trúc thay đổi rõ, phát triển với mức độ trung bình và có khả năng lan rộng nếu không được điều trị kịp thời.
Bệnh nhân được bác sĩ Bernard tư vấn kỹ lưỡng về kế hoạch điều trị và theo dõi. Đồng thời, theo nguyện vọng gia đình, bệnh nhân được hỗ trợ chuyển đến bệnh viện chuyên khoa sâu về Ung bướu - Tiêu hóa để tiến hành phẫu thuật kịp thời.
|
Carcinoma tuyến biệt hóa trung bình là gì? Tiên lượng như thế nào? Ung thư biểu mô tuyến đại tràng (Carcinoma tuyến) là dạng ung thư phổ biến nhất tại đại tràng, khởi phát từ các tế bào biểu mô tuyến - vốn có chức năng tiết nhầy hoặc dịch tiêu hóa trong niêm mạc ruột. Một yếu tố quan trọng trong đánh giá ung thư là mức độ biệt hóa của tế bào ung thư, tức mức độ mà tế bào ung thư còn giống hay đã khác biệt so với tế bào bình thường:
Tùy theo mức độ biệt hóa mà tiên lượng sống và điều trị khác nhau. Tiên lượng trung bình, không cao như biệt hóa tốt, nhưng cũng không xấu như biệt hóa kém. |

Dù là bệnh lý nguy hiểm, ung thư đại trực tràng hoàn toàn có thể được phát hiện sớm, thậm chí ngay từ giai đoạn tiền ung thư thông qua nội soi tiêu hóa định kỳ. Từ đó giúp:
- Tăng tỷ lệ điều trị thành công lên tới 90%
- Giảm tới 50% nguy cơ tử vong
- Tỷ lệ sống sau 5 năm đạt 90–95% nếu điều trị từ giai đoạn sớm.
Theo khuyến cáo của Hiệp hội ung thư Nhật Bản, Hoa Kỳ, người từ 40 tuổi trở lên nên chủ động nội soi tiêu hóa ít nhất một lần trong đời, kể cả khi không có triệu chứng, để kịp thời phát hiện các tổn thương sớm – giai đoạn có khả năng điều trị khỏi cao nhất.
Nếu bạn hoặc người thân đang gặp vấn đề về tiêu hóa, đặt lịch Tầm soát chuyên sâu; Khám & Điều trị bệnh lý Nội tiêu hóa tại Trung tâm Nội soi tiêu hóa chuẩn Nhật Bernard qua hotline: (028) 3535 2468 hoặc đăng ký tư vấn NGAY TẠI ĐÂY.




