Phát hiện viêm teo niêm mạc dạ dày (O3 Kimura- Takemoto) dù không có triệu chứng tiêu hóa bất thường
03/10/2025
Bệnh nhân T.V.T (nam, 55 tuổi), tham gia chương trình khám sức khỏe định kỳ dành cho doanh nghiệp tại Bernard Healthcare. Trước khi đến khám, bệnh nhân hoàn toàn không có triệu chứng tiêu hóa bất thường.
Tiền sử ghi nhận thỉnh thoảng sử dụng rượu bia (khoảng 10–12 lon bia/lần, trung bình mỗi tháng một lần). Gia đình không có tiền căn bệnh lý tiêu hóa rõ ràng.
Cách đây một năm, bệnh nhân đã từng thực hiện nội soi tiêu hóa và phát hiện nhiễm vi khuẩn Helicobacter pylori với CLO test (+), tổn thương lúc đó chỉ ở mức viêm sung huyết nhẹ vùng hang vị. Sau đó, bệnh nhân được chỉ định điều trị và theo dõi định kỳ, tuy nhiên chưa rõ mức độ tuân thủ điều trị.
Tại lần khám năm nay, bác sĩ Bernard với kinh nghiệm chuyên môn và sự tuân thủ các khuyến cáo quốc tế, đã tư vấn và đề nghị nội soi kiểm tra lại, vừa để đánh giá hiệu quả điều trị H.pylori, vừa nhằm tầm soát tổn thương tiến triển, bao gồm các tổn thương tiền ung thư nếu có. Quyết định này đặc biệt quan trọng trong bối cảnh bệnh nhân có yếu tố nguy cơ như tiền sử nhiễm H.pylori và thói quen ăn uống chưa lành mạnh.
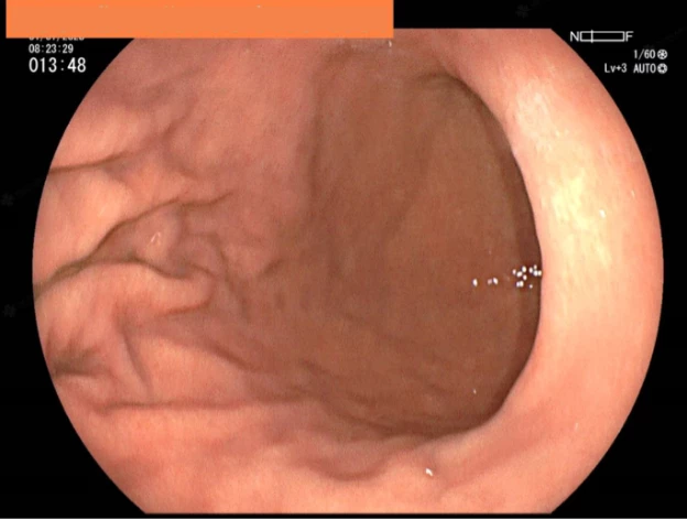
Kết quả nội soi lần này của nam bệnh nhân cho thấy: CLO test âm tính (không còn H.pylori). Tuy nhiên, niêm mạc vùng thân vị có biểu hiện nhợt, mỏng, lộ rõ mạch máu. Hình ảnh nội soi gợi ý viêm teo lan rộng niêm mạc dạ dày, được phân loại theo Kimura-Takemoto là mức O3.
Viêm teo niêm mạc dạ dày là tình trạng viêm (atrophic gastritis) là một tình trạng viêm mạn tính của niêm mạc dạ dày, dẫn đến sự mất dần và mỏng đi của lớp niêm mạc này, đồng thời làm giảm số lượng tuyến tiết acid và enzyme tiêu hóa trong dạ dày.
Trong dịp Bernard Healthcare đón tiếp đoàn bác sĩ chuyên gia nội soi đến từ Nhật Bản, trường hợp bệnh nhân này đã được bác sĩ Bernard trình bày trong buổi thảo luận chuyên môn. Ca bệnh nhận được sự quan tâm và đánh giá cao từ các chuyên gia, đặc biệt bác sĩ Kinoshita Koshi, Trưởng khoa Tiêu hóa và Nội soi và Tiến sĩ, Bác sĩ Phạm Nguyên Quý - Trưởng khoa Ung thư nội khoa, Bệnh viện Trung ương Kyoto Min-iren.
Koshi đồng thuận với chẩn đoán của bác sĩ Bernard và nhận định đây là trường hợp viêm teo mức độ O3 nhiều khả năng do hậu quả của nhiễm H.pylori kéo dài trước đó. Việc H.pylori không còn hiện diện tại thời điểm nội soi có thể là kết quả của điều trị thành công.
Bác sĩ Nhật Bản cũng chia sẻ, tại Nhật Bản và trên thế giới các guidelines đều đồng thuận tiệt trừ H.pylori ở bệnh nhân có viêm teo niêm mạc dạ dày. Sau đó tùy vào mức độ tổn thương mà có kế hoạch theo dõi, thông thường mức dộ trung bình – nặng sẽ phải nội soi kiểm tra sau 1-3 năm, riêng tại Nhật, nội soi thường đường khuyến nghị làm lại sau 1 năm.
Từ góc nhìn chuyên môn của bác sĩ Koshi và bác sĩ Phạm Nguyên Quý, cả hai nhất trí khuyến cáo theo dõi nội soi sau 1 năm cho bệnh nhân này. Việc theo dõi sát giúp phát hiện sớm các tổn thương mới hoặc tiến triển ác tính của tổn thương cũ.
Đặt lịch nội soi tiêu hóa chuẩn Nhật tại Bernard Healthcare qua hotline 028 3535 2468 hoặc để lại thông tin nhận tư vấn NGAY TẠI ĐÂY.




.png?w=500)

