Cảnh báo sốt xuất huyết mùa mưa: Đừng chủ quan với những cơn sốt kéo dài!
17/12/2025
Một cơn sốt tưởng chừng đơn giản trong mùa mưa có thể không chỉ là cảm cúm thông thường. Trên thực tế, nhiều ca sốt xuất huyết nhập viện muộn đều khởi phát bằng sốt cao kéo dài nhưng ít triệu chứng đặc hiệu, khiến người bệnh chủ quan tự điều trị tại nhà.
Bệnh nhân H.T.A., nam, 17 tuổi, được người nhà đưa đến Bernard trong tình trạng sốt trên 37°C kéo dài khoảng một tuần. Trước đó, gia đình chủ quan nhận định là sốt thông thường nên chưa đưa đi thăm khám. Tuy nhiên, khi bệnh nhân xuất hiện ban xuất huyết dạng chấm dưới da kèm theo chảy máu mũi, người nhà đã nhanh chóng đưa đến cơ sở y tế để kiểm tra và xử trí kịp thời.
Tại Bernard Healthcare, qua tiếp nhận sơ bộ ban đầu từ ThS. BS CKII. Nguyễn Thị Thanh Hà - Chuyên khoa Nội tổng hợp - Nội tim mạch, bệnh nhân cho thấy tình trạng tỉnh táo, tiếp xúc tốt nhưng có ban xuất huyết dưới da, chảy máu mũi, da nổi bông tím.
Khám lâm sàng ghi nhận: tim đều, phổi trong, bụng mềm, gan mấp mé bờ sườn, lách không to rõ, chưa có dấu thần kinh khu trú. Với kinh nghiệm lâm sàng, bác sĩ đã chỉ định làm ngay các xét nghiệm cần thiết. Trong đó, kết quả xét nghiệm máu ghi nhận:
- Bạch cầu giảm (WBC 3.1), bạch cầu trung tính thấp (NEU 20.5%), mono tăng cao (38.7%).
- Tiểu cầu giảm nặng (48.5 ×10⁹/L) – một dấu hiệu cảnh báo quan trọng.
- Tình trạng rối loạn điện giải: Natri 135.8 mmol/L (giảm nhẹ).
- Men gan tăng: AST 129 U/L, ALT 90 U/L.
- Xét nghiệm vi sinh xác nhận nhiễm virus Dengue IgG dương tính
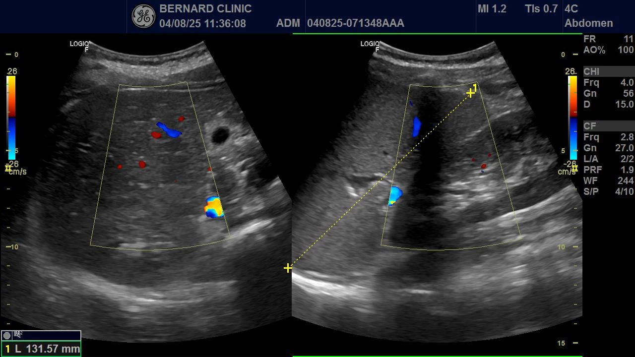
Bên cạnh đó, hình ảnh siêu âm bụng của bệnh nhi A cho thấy lách to độ I (69 × 131 mm).
Theo phân độ SXH Dengue theo Bộ Y tế, trường hợp bệnh nhi A chưa có sốc, chưa có thoát huyết tương hay suy đa tạng nên chưa phải sốt xuất huyết nặng. Tuy nhiên, với tiểu cầu giảm sâu, men gan tăng, lách to và các biểu hiện xuất huyết, bệnh nhân đã bước vào giai đoạn sốt xuất huyết có nguy cơ diễn tiến nặng, cần được theo dõi chặt chẽ như sốt xuất huyết có dấu hiệu cảnh báo.
Sau khi đánh giá chính xác tình trạng bệnh lý của bệnh nhi, bác sĩ Bernard đã cho y lệnh chuyển viện điều trị nội trú để theo dõi sát, phòng ngừa nguy cơ sốc sốt xuất huyết và biến chứng nguy hiểm.
Nếu bạn hoặc người thân có biểu hiện sốt kéo dài, mệt mỏi, đau đầu, đau hốc mắt… hãy chủ động thăm khám để được bác sĩ tư vấn, chỉ định xét nghiệm cần thiết và theo dõi sát diễn tiến bệnh.
Đặt lịch khám sức khỏe cùng bác sĩ giỏi, công nghệ hiện đại, mô hình Ningen Dock tại Bernard Healthcare qua hotline 028 3535 2468 hoặc nhận tư vấn NGAY TẠI ĐÂY.
Sốt xuất huyết Dengue là gì? Phòng sốt xuất huyết Dengue như thế nào?Sốt xuất huyết Dengue là bệnh truyền nhiễm nguy hiểm có thể gặp ở cả trẻ em lẫn người lớn, đặc biệt nghiêm trọng hơn ở những người đã từng mắc bệnh trước đó.
Do giai đoạn khởi phát thường biểu hiện giống cảm sốt thông thường, nhiều trường hợp dễ chủ quan, dẫn đến bỏ lỡ thời điểm điều trị kịp thời. Khi có bất kỳ dấu hiệu bất thường nào như sốt kéo dài, phát ban, chảy máu mũi, chảy máu chân răng… cần nhanh chóng đến cơ sở y tế để được thăm khám. Đặc biệt trong mùa mưa – thời điểm muỗi vằn phát triển mạnh, mỗi người cần chủ động phòng ngừa bằng cách:
|









