Phát hiện SỚM & Can thiệp u lan sang bên (LST) đại tràng - Kịp thời ngăn ngừa nguy cơ tiến triển thành ung thư
19/11/2025
Không ghi nhận triệu chứng bất thường trước khi đến Bernard Healthcare khám sức khỏe định kỳ, anh L.T.V. (67 tuổi) đã không khỏi bất ngờ khi phát hiện tổn thương đường tiêu hóa. Bác sĩ Bernard đã nhanh chóng hội chẩn, đưa ra hướng can thiệp và theo dõi, kịp thời giúp anh V. tránh được nguy cơ ung thư.
Nguy cơ tiến triển thành ung thư nếu không được phát hiện sớm
Anh V. đến Bernard kiểm tra sức khỏe định kỳ trong trạng thái hoàn toàn ổn, không có triệu chứng bất thường về tiêu hóa hay sức khỏe tổng quát. Tuy vậy, với các yếu tố nguy cơ như tuổi tác, giới tính nam và bệnh lý nền mạn tính (tăng huyết áp, đái tháo đường), bác sĩ đã tư vấn anh thực hiện nội soi thực quản – dạ dày – tá tràng và toàn bộ đại trực tràng.
Kết quả nội soi đường tiêu hóa trên không ghi nhận bất thường nghiêm trọng. Tuy nhiên, khi khảo sát đại trực tràng, bác sĩ nội soi tại Bernard phát hiện một tổn thương đáng lo ngại tại đại tràng phải.
Cụ thể, khu vực góc gan – đại tràng phải phát hiện tổn thương dạng Lateral Spreading Tumor (LST) có kích thước lớn (khoảng 6x8cm), chiếm nửa chu vi lòng đại tràng, kèm theo vài túi thừa.
Theo quy trình chẩn đoán, tổn thương được bác sĩ thực hiện sinh thiết trong quá trình nội soi và gửi giải phẫu bệnh.
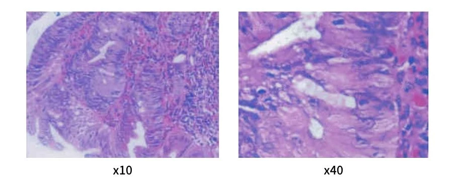
Kết quả sinh thiết cho thấy tân sản tuyến với đặc điểm nhân tăng sắc kiềm, hạt nhân lớn, có hình ảnh nhân chia không điển hình. Tế bào sắp xếp thành cấu trúc tuyến ống và nhánh, có hiện tượng xâm nhập tế bào viêm.
Chẩn đoán mô bệnh học xác định tổn thương là u tuyến ống nhánh, nghịch sản độ cao, có nguy cơ tiến triển thành ung thư nếu không được xử trí kịp thời.
Đồng hành cùng người bệnh khi có rủi ro sức khỏe
Khi có rủi ro sức khỏe, Bernard giúp khách hàng an tâm bằng cách kích hoạt hội chẩn đa chuyên khoa (Tumor Board), tư vấn lựa chọn phương án điều trị, hỗ trợ kết nối điều trị, đồng hành cùng khách hàng và gia đình tại các bệnh viện chuyên khoa hàng đầu trong nước & Nhật Bản khi cần thiết.
Với trường hợp của anh V., ngay khi có kết quả mô bệnh học, Hội đồng Y khoa Bernard đã nhanh chóng tổ chức hội chẩn với sự tham gia của các chuyên gia nội khoa, ngoại khoa, nội soi và chẩn đoán hình ảnh. Đặc biệt, TS.BS. Võ Nguyên Phong - Chuyên gia Ngoại Tiêu hóa - Gan mật tụy đã trực tiếp tham gia đánh giá tổn thương và lên kế hoạch điều trị tối ưu cho bệnh nhân.
Sau khi cân nhắc kỹ lưỡng, phương án điều trị được thống nhất là phẫu thuật nội soi loại bỏ toàn bộ tổn thương, được thực hiện trực tiếp bởi TS.BS. Võ Nguyên Phong tại bệnh viện chuyên khoa.
Sau can thiệp phẫu thuật, Bernard tiếp tục đồng hành với bệnh nhân trong quá trình theo dõi chặt chẽ nhằm đánh giá hiệu quả điều trị và nguy cơ tái phát. Bệnh nhân được lên kế hoạch tái khám định kỳ với các mốc kiểm tra quan trọng:
- Lần 1 (1 tháng sau phẫu thuật): Chụp CT Scan bụng - tiểu khung có cản quang ghi nhận thay đổi cấu trúc và thâm nhiễm mỡ sau phẫu thuật đại tràng phải, không có dấu hiệu tổn thương tồn dư hay lan rộng.
- Lần 2 (3 tháng sau phẫu thuật): CT Scan tiếp tục xác nhận không có tổn thương choán chỗ, không dày thành bất thường tại vị trí miệng nối, chứng tỏ điều trị đã đạt hiệu quả triệt để.
Sau đó, bệnh nhân được khuyến nghị thăm khám định kỳ hàng năm và nội soi lại khi có triệu chứng tiêu hóa bất thường hoặc theo chỉ định của bác sĩ. Từ đó đảm bảo phát hiện kịp thời nguy cơ tái phát và chủ động dự phòng ung thư đường tiêu hóa.
LST là gì? Nguy cơ ác tính do LST như thế nào?
LST là các tổn thương phát triển nông, lan rộng theo chiều ngang trên bề mặt niêm mạc, thay vì phát triển theo chiều dọc. Chúng có kích thước tối thiểu 10mm và chủ yếu xuất hiện trong đại tràng.
Dựa trên đặc điểm nội soi, LST được chia thành 2 nhóm chính với 4 phân nhóm:
- LST dạng hạt (LST-G): Đồng nhất, hỗn hợp.
- LST không hạt (LST-NG): Phẳng nhô cao, giả lõm.
Tỷ lệ mắc và nguy cơ ác tính:
- Khoảng 0,8%-0,93% bệnh nhân nội soi đại tràng có một hoặc nhiều tổn thương LST.
- Trong nhóm bệnh nhân có tổn thương tiền ung thư, tỷ lệ mắc LST là 3,6%-4,5%.
- Kích thước càng lớn, nguy cơ xâm lấn dưới niêm mạc càng cao.
Phần lớn các tổn thương LST không xâm lấn và có thể được điều trị hiệu quả qua nội soi. Phát hiện sớm các tổn thương LST và các bệnh lý tiêu hóa khác là yếu tố then chốt giúp ngăn chặn nguy cơ tiến triển thành ung thư. Một số tổn thương LST có thể không phát hiện được qua CT Scan hay MRI. Do đó, nội soi tiêu hóa luôn đóng vai trò quan trọng trong sàng lọc, phát hiện, chẩn đoán sớm, theo dõi hiệu quả điều trị và nguy cơ tái phát ung thư đường tiêu hóa.
Nếu bạn hoặc người thân đang gặp vấn đề tiêu hóa kéo dài hoặc đơn giản là muốn kiểm tra để yên tâm, đừng đợi đến khi có triệu chứng nghiêm trọng. Đăng ký tư vấn hoặc liên hệ qua hotline (028) 3535 2468 để giữ mức ưu đãi tốt nhất.
Nội soi tiêu hóa chuẩn Nhật tại Bernard: Soi kỹ - Soi đúng - Để không bỏ sót

Hợp tác chuyên môn với Bệnh viện Trung ương Kyoto Miniren - đơn vị hàng đầu tại Kyoto (Nhật Bản) về nội soi tầm soát ung thư và nội soi can thiệp điều trị. Hiện nay, Bernard là một trong số ít cơ sở tại Việt Nam áp dụng quy trình nội soi tiêu hóa chuẩn Nhật:
Quản lý chất lượng - Đảm bảo độ tin cậy trong chẩn đoán
- Lớp 1 - Nội soi kỹ, đúng chuẩn Nhật: Giới hạn số ca nội soi trong ngày để đảm bảo chất lượng từng ca. Thời gian soi tối thiểu 7-10 phút với đường tiêu hóa trên và 25 - 30 phút với đường tiêu hóa dưới (chưa kể thời gian can thiệp thủ thuật).
- Lớp 2 - Chụp đầy đủ hình ảnh các vị trí theo yêu cầu, và lưu trữ lại video để phục vụ kiểm tra chéo.
- Lớp 3 - Bệnh viện Trung ương Kyoto Min-iren định kỳ kiểm tra chéo và giám sát chất lượng nội soi real-time
Hệ thống nội soi Fujifilm BL7000 hiện đại, sử dụng công nghệ quang học phóng đại với độ phân giải cao, ánh sáng xanh laser (BLI), kết hợp dải màu (LCI) giúp phát hiện sớm tổn thương tiền ung thư.
Tiến sĩ - Bác sĩ Phạm Thị Lệ Xuân, nguyên Trưởng khoa Gây mê hồi sức phẫu thuật tim, Bệnh viện Chợ Rẫy cùng ekip gây mê giàu kinh nghiệm đồng hành trong suốt quá trình nội soi.
Quy trình kiểm soát nhiễm khuẩn đúng chuẩn với hệ thống máy rửa tự động, kiểm tra đánh giá mỗi ngày và đầy đủ số lượng dây soi đảm bảo đáp ứng thời gian chờ và phục vụ bệnh nhân.
Tháng 8/2025, Bernard chính thức triển khai giám sát trực tiếp nội soi, cho phép chuyên gia Bệnh viện Trung ương Kyoto Miniren, theo dõi ngay trong lúc ca nội soi diễn ra. Khi phát hiện tổn thương khó hoặc nghi ngờ, tham gia hội chẩn tức thời, hỗ trợ bác sĩ Bernard đưa ra quyết định xử trí ngay tại chỗ.





