Phát hiện SỚM khối u trung thất kích thước lớn, giúp hạn chế xẹp phổi lan rộng
26/11/2025
Thỉnh thoảng cảm thấy nặng ngực, khó thở, ho khan, nhưng không ảnh hưởng nhiều đến sinh hoạt hàng ngày. Cho đến khi khám sức khỏe tổng quát tại Bernard Healthcare, với kinh nghiệm lâm sàng dày dặn của đội ngũ bác sĩ cùng hệ thống thiết bị hiện đại đã giúp phát hiện tình trạng xẹp phổi thụ động do khối tổn thương kích thước lớn ở trung thất giữa phải, sát màng tim phải.
Từ tổn thương trung thất giữa đến xẹp phổi thụ động
Khách hàng P.P.L. (nữ, 58 tuổi) từ Hà Lan về Việt Nam để kiểm tra sức khỏe tổng quát tại Bernard Healthcare.
Chia sẻ với bác sĩ Bernard, chị L. cho biết từng phẫu thuật đoạn nhũ do ung thư vú trái cách đây ba năm. Trước khi đến Bernard Healthcare, thỉnh thoảng lại cảm thấy nặng ngực, khó thở và ho khan, nhưng không gây ảnh hưởng nghiêm trọng đến sinh hoạt hàng ngày.
Đánh giá ca bệnh có nguy cơ tiềm ẩn, đội ngũ bác sĩ Bernard đã tư vấn chị L. thực hiện kiểm tra sức khỏe toàn diện - kết hợp các xét nghiệm, cận lâm sàng cần thiết nhằm phát hiện sớm kịp thời và tránh bỏ sót các bệnh lý nguy hiểm toàn thân.
Sau khi chụp Xquang kiểm tra phổi, bác sĩ Bernard ghi nhận có khối tổn thương che lấp mờ đáy phổi phải (P) và xóa mờ bờ tim (P).
Nhận thấy bất thường, ngay sau đó, bác sĩ Bernard đã nhanh chóng chỉ định bệnh nhân thực hiện chụp cắt lớp vi tính (CT scan) lồng ngực có tiêm thuốc cản quang để đánh giá chi tiết hơn. Đây là bước quan trọng nhằm phát hiện và đánh giá tổn thương rõ hơn mà X-quang có thể bỏ sót.
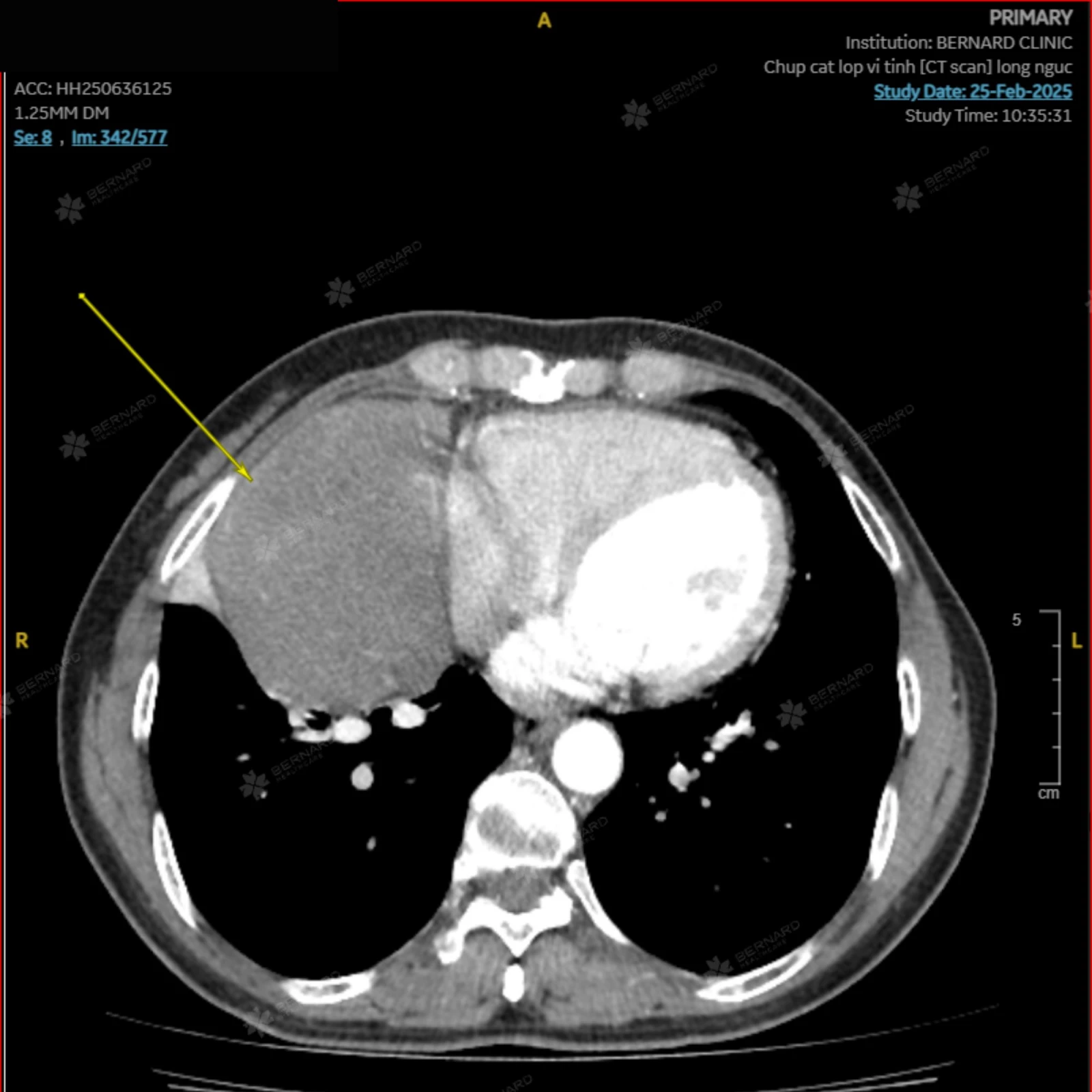
Kết quả CT Scan khi quét qua trung thất vị trí trung tâm cho thấy: Có khối tổn thương choán chỗ lớn trung thất giữa (P), sát màng ngoài tim (P), bờ giới hạn khá rõ, trơn đều, có kích thước khoảng 65 x 87 x 110mm (ngang x trước sau x cao), đậm độ trung bình không đồng nhất, bắt thuốc tương phản không đồng nhất. Hình ảnh này gợi ý một số chẩn đoán phân biệt: U trung thất (Fibroma, Mesothelioma hoặc di căn). Đáng lo ngại hơn, khối tổn thương đã gây đè ép dẫn đến xẹp phổi thụ động, một dấu hiệu cần được can thiệp kịp thời và theo dõi chặt chẽ.
Bernard Healthcare kích hoạt hội chẩn đa chuyên khoa, xây dựng kế hoạch điều trị và theo dõi sát sao cho người bệnh
Tại Bernard Healthcare, khi phát hiện có rủi ro sức khỏe, Bernard giúp khách hàng an tâm bằng cách kích hoạt hội chẩn đa chuyên khoa (Tumor Board), tư vấn lựa chọn phương án điều trị, hỗ trợ kết nối điều trị, đồng hành cùng khách hàng và gia đình tại các bệnh viện chuyên khoa hàng đầu trong nước & Nhật Bản khi cần thiết.
Với tình trạng tổn thương đáng lưu ý này, Hội đồng Y khoa Bernard đã lập tức kích hoạt quy trình hội chẩn đa chuyên khoa, với sự tham gia của ThS - BS. Nội khoa Phan Thị Minh Nguyệt, TS - BS. Nguyễn Viết Đăng Quang - Chuyên khoa Ngoại Lồng ngực, nhằm đánh giá toàn diện, cũng như đưa ra hướng điều trị và theo dõi phù hợp.
Sau thảo luận, các chuyên gia đánh giá khối tổn thương có khả năng lành tính. Nhưng với tổn thương có kích thước lớn và ở vị trí nhạy cảm, bác sĩ Bernard khuyến nghị can thiệp phẫu thuật sớm để cải thiện triệt để triệu chứng, dự phòng biến chứng và kiểm soát bệnh lý tiềm ẩn.
Vì sao u trung thất cần được phát hiện sớm?
Với khối tổn thương kích thước lớn, chiếm gần hết không gian trung thất giữa (P) và nằm sát màng ngoài tim, nguy cơ biến chứng sẽ tăng nhanh nếu không được đánh giá và can thiệp kịp thời.
Một khối trung thất lớn để kéo dài có thể tạo ra hàng loạt hậu quả nghiêm trọng, ảnh hưởng trực tiếp đến tim, mạch máu lớn, đường thở và các cấu trúc thần kinh quan trọng.
Với quy trình khám bệnh kỹ lưỡng và tận tâm, đội ngũ nhân viên y tế Bernard không chỉ giúp bệnh nhân phát hiện sớm tổn thương nguy hiểm mà còn đưa ra những định hướng điều trị tối ưu, đảm bảo theo dõi sức khỏe chặt chẽ ngay cả khi bệnh nhân quyết định điều trị tại nước ngoài.
Đặt lịch thăm khám và tầm soát sức khỏe chuyên sâu tại Bernard Healthcare qua hotline (028) 3535 2468 hoặc đăng ký tư vấn NGAY TẠI ĐÂY.
| Lời cảm ơn thân thương từ Hà Lan
Để thuận tiện cho sinh hoạt và chăm sóc, chị L. bày tỏ mong muốn được điều trị và theo dõi tại Hà Lan. Bernard hoàn toàn tôn trọng lựa chọn này và tiếp tục giữ vai trò đồng hành y khoa: từ hỗ trợ chuyển giao hồ sơ, tham vấn chuyên môn với bác sĩ điều trị tại nước ngoài, cho đến theo dõi sức khỏe sau điều trị khi chị có nhu cầu. Sau đó, chị L. đã tiến hành phẫu thuật tại Hà Lan. Kết quả là u lành và không cần điều trị thêm - một tin vui giản dị nhưng vô cùng quý giá.
|




