Ung thư amidan giai đoạn 3 dù không triệu chứng và hành trình tìm lời giải qua double-check với Nhật Bản
AloBacsi
11/12/2025
Một nam bệnh nhân sinh năm 1972 đươc chẩn đoán ung thư amidan giai đoạn III. Phân vân vì không có triệu chứng đặc hiệu, anh tìm đến Bernard Healthcare tham khảo thêm ý kiến chuyên môn thứ hai (second opinion) kết quả để lên kế hoạch điều trị chi tiết.
Ung thư amidan là một trong những dạng ung thư vùng đầu - cổ được xếp vào nhóm nguy hiểm. Đáng chú ý, mức độ nguy hiểm phụ thuộc rất lớn vào giai đoạn phát hiện. Ở giai đoạn II - III hoặc có di căn hạch cổ, việc điều trị sẽ trở nên phức tạp hơn.
Sau khi được chẩn đoán ung thư amidan giai đoạn III, anh chủ động tìm đến Hệ thống Y khoa chuyên sâu Quốc tế Bernard (Bernard Healthcare) - đơn vị hợp tác đọc chéo hình ảnh (double reading) với Bệnh viện Đại học Yamanashi (Nhật Bản) với mong muốn tham vấn ý kiến chuyên gia và xây dựng kế hoạch điều trị chi tiết.
Tại Bernard Healthcare, hồ sơ y khoa của nam bệnh nhân được Hội đồng Y khoa, bác sĩ Bernard và Chuyên gia chẩn đoán hình ảnh phân tích chi tiết tiền sử bệnh, đặc điểm khối tổn thương và các dấu hiệu nghi ngờ lan rộng.
Trên cơ sở đó, bệnh nhân được chỉ định chụp CT Scan cổ - ngực - bụng - chậu nhằm đánh giá toàn diện khả năng di căn và xác định mức độ tiến triển của bệnh.
![]() |
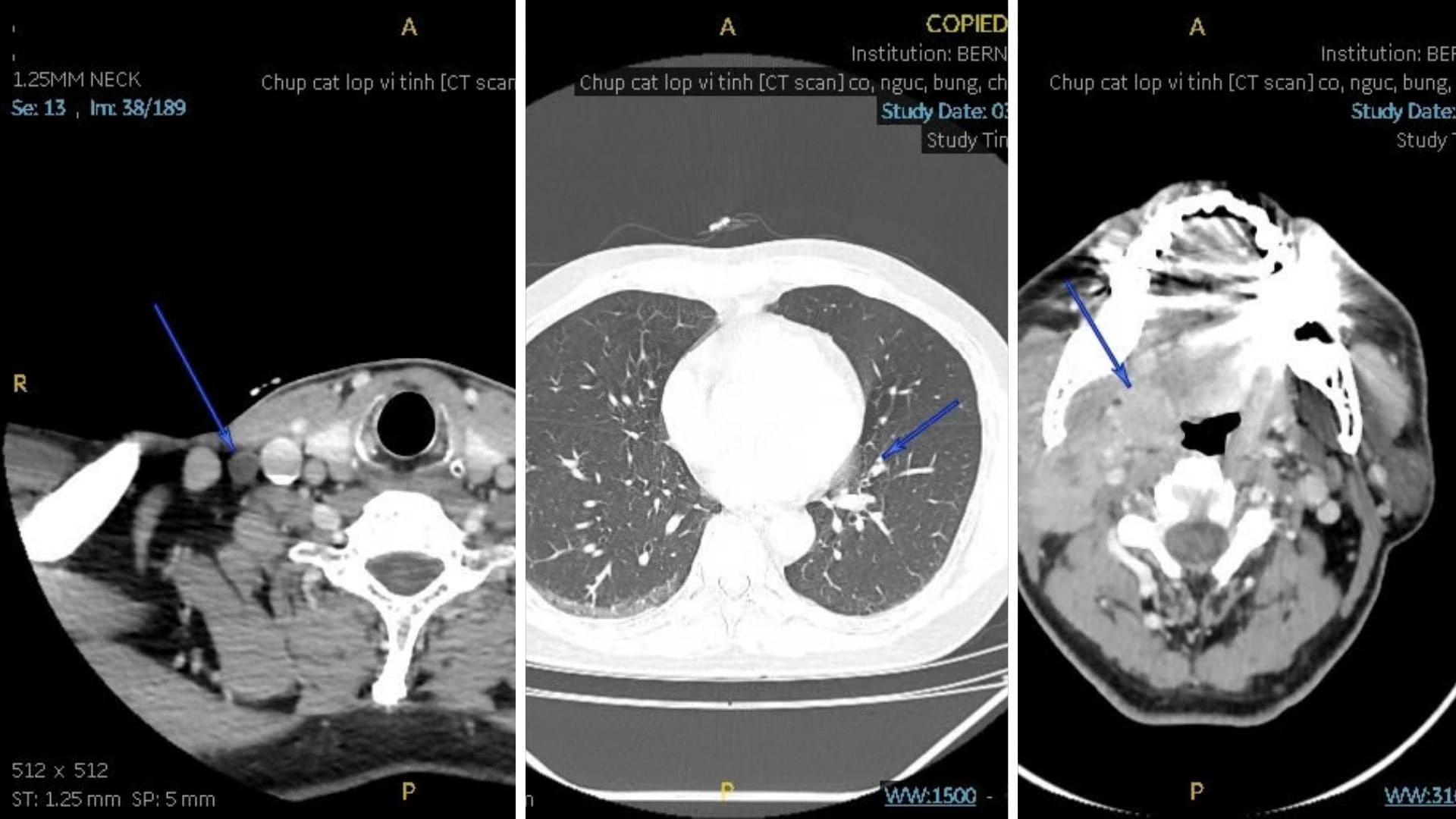
| Hình ảnh CT Scan ghi nhận tổn thương choán chỗ vùng amidan phải và hạch cổ lớn (Ảnh: Hệ thống PACS Bernard) |
Kết quả CT Scan ghi nhận có khối choán chỗ khẩu hầu mức amygdale (phải), kích thước 1,9 x 2,1 cm, bờ không đều, bắt quang trung bình, nghi ngờ u ác và hạch lớn khoang cảnh phải (2 x 2,9 cm), bắt quang không đồng nhất, có hoại tử. Những đặc điểm này gợi ý tổn thương đã di căn hạch cổ.
Các cơ quan tim, phổi, gan-thận không ghi nhận bất thường ác tính, chỉ có một số tổn thương xương cũ và thoái hóa cột sống đi kèm.
Kết luận từ chuyên gia chẩn đoán hình ảnh Bernard là tổn thương choán chỗ amidan phải kèm hạch lớn vùng cổ phải, phù hợp phân loại T2N1Mx (giai đoạn III). Điều này cho thấy khối u đã lan đến hệ bạch huyết vùng cổ - tức đã có di căn hạch vùng.
Thông qua hệ thống PACS kết nối trực tiếp, hình ảnh CT Scan của bệnh nhân được gửi sang Nhật Bản. Chỉ sau thời gian ngắn, giáo sư - bác sĩ chẩn đoán hình ảnh Bệnh viện Đại học Yamanashi đã phản hồi báo cáo chi tiết.
![]() |
Đánh giá từ chuyên gia Nhật Bản đồng ý rằng đây là ung thư amidan phải và di căn nhiều hạch cổ phải. Bệnh nhân được khuyến cáo thực hiện MRI vùng cổ để đánh giá rõ ràng hơn mức độ xâm lấn mô mềm và chụp FDG-PET để đánh giá phạm vi di căn.
Sau đó, bệnh nhân tiếp tục được các bác sĩ chuyên gia từ Bernard Healthcare và Bệnh viện Đại học Yamanashi tham vấn và hoạch định chi tiết lộ trình điều trị cũng như kế hoạch theo dõi về sau.
Ý nghĩa của CT Scan trong chẩn đoán và đánh giá các tổn thương vùng cổ - ngực & bụng - chậu
Chụp CT Scan có tiêm thuốc cản quang là kỹ thuật chẩn đoán hình ảnh hiện đại, cho phép khảo sát đồng thời nhiều cơ quan trong cùng một lần chụp. Đây là phương pháp đặc biệt hữu ích khi cần đánh giá:
- Khối u nguyên phát: Xác định vị trí, kích thước, bờ, mức độ xâm lấn.
- Đường lan của khối u: Mối liên quan với mạch máu, thần kinh, mô mềm, hạch bạch huyết.
- Di căn xa: Phổi, trung thất, gan, tuyến thượng thận, hạch ổ bụng, xương,...
Nhờ độ phân giải cao và khả năng dựng hình 3D, CT Scan giúp bác sĩ nhìn rõ cấu trúc khối u và hệ mạch nuôi u, từ đó có thể đánh giá giai đoạn bệnh (staging), lên kế hoạch điều trị phù hợp và theo dõi đáp ứng điều trị trong những lần kiểm tra tiếp theo.
Khách hàng, bệnh nhân ung thư có nhu cầu tham vấn ý kiến thứ hai kết quả MRI, CT Scan hoặc đánh giá lại hồ sơ, làm rõ hướng điều trị, tư vấn về chăm sóc giảm nhẹ - dinh dưỡng - kiểm soát triệu chứng cùng chuyên gia trong nước và Nhật Bản, có thể liên hệ Bernard Healthcare qua hotline 028 3535 2468 hoặc để lại thông tin tư vấn TẠI ĐÂY.
Hệ thống Y khoa chuyên sâu Quốc tế Bernard
Địa chỉ:
- Cơ sở: 201 Nam Kỳ Khởi Nghĩa, phường Xuân Hòa, TPHCM
- Cơ sở: 22 Phan Đình Giót, phường Tân Sơn Hòa, TPHCM
Điện thoại: 028 3535 2468
Email: care@bernard.vn
Website: bernard.vn.
Nguồn: AloBacsi









