Điều trị dứt điểm tình trạng nhiễm nấm ống tai dai dẳng cho nam bệnh nhân sau 5 liệu trình
03/10/2025
Gần đây, Bernard Healthcare đã giúp một nam bệnh nhân chữa dứt điểm tình trạng nhiễm nấm ống tai dai dẳng sau 5 liệu trình.
1. Quá trình điều trị nấm ống tai cho bệnh nhân
Khách hàng Đ.L.C (nam, 34 tuổi) là một kỹ sư công trình, phải dùng bịt tai xuyên suốt do làm việc trong môi trường nhiều bụi bẩn và tiếng ồn. Gần đây, tai anh C. thường xuyên bị ù, ngứa ngáy và giảm khả năng nghe. Mặc dù đã đến tiệm để lấy ráy tai thường xuyên nhưng tình trạng ngứa vẫn không thuyên giảm. Đặc biệt, khi phải di chuyển bằng máy bay, tai sẽ xuất hiện những cơn đau âm ỉ và cảm giác ù tai cũng trở nên nặng nề hơn. Nhận thấy tình trạng diễn ra liên tục dài ngày và không có dấu hiệu thuyên giảm, anh L.C. đã đến Bernard Healthcare để thăm khám.
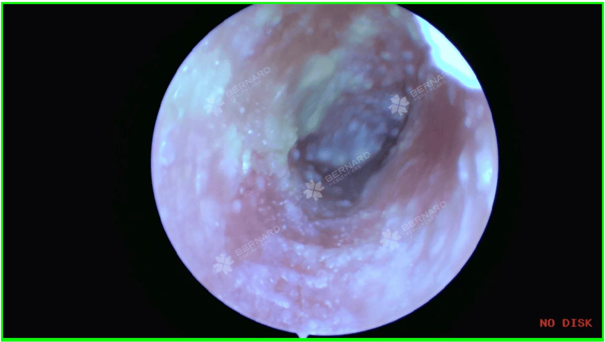
Nam khách hàng được Bác sĩ CKI. Trần Xuân Nguyên - Chuyên khoa Tai-Mũi-Họng, Bernard Healthcare trực tiếp thăm khám và chỉ định nội soi ống tai. Kết quả cho thấy, ống tai ngoài ở cả hai bên có tình trạng sung huyết, rải rác các mảng ráy tai kèm nấm. Màng nhĩ hai bên vẫn nguyên vẹn, tam giác sáng rõ, hòm nhĩ đóng ít mủ kèm nấm nhưng không đọng dịch.
Kết hợp cùng các yếu tố đời sống, bác sĩ CKI. Trần Xuân Nguyên nhận định: Bệnh nhân đang gặp phải tình trạng viêm ống tai ngoài kèm theo nhiễm nấm ở cả hai tai. Mặc dù tình trạng chưa đến mức nghiêm trọng nhưng cần can thiệp kịp thời để ngăn chặn biến chứng.
Cụ thể:
- Ống tai ngoài bị trầy xước nhẹ và có các sợi nấm bám vào da bên trong.
- Màng nhĩ vẫn còn nguyên vẹn, do đó chưa gây ra các biến chứng nguy hiểm như viêm xương hoặc tổn thương các cơ quan lân cận.
- Ráy tai khô, không chảy dịch nhưng có ít mủ đọng, đóng mảng vảy do nấm đã làm hẹp ống tai, gây ra các triệu chứng như ngứa, đau và giảm thính lực.
Để ngăn chặn bệnh tiến triển và tránh các biến chứng nguy hiểm, bệnh nhân được khuyến nghị thực hiện hút sạch ráy tai và nhỏ thuốc cồn Boric 3% để tiêu diệt nấm.
Trong quá trình nội soi, bác sĩ đã tiến hành điều trị ngay tại chỗ để đảm bảo hiệu quả tốt nhất. Trước tiên, bác sĩ đã bóc tách mảng ráy tai bằng dụng cụ chuyên dụng. Sau đó, sử dụng ống hút tai thẳng kết nối với máy hút, điều chỉnh áp lực vừa phải để hút sạch dịch mủ và nấm từ thành ống tai đến màng nhĩ.
Sau khi hút sạch cặn bẩn và nấm, ống tai được rửa kỹ bằng nước muối sinh lý thông qua bơm tiêm. Trường hợp mủ đọng nhiều, bác sĩ đã bơm oxy già pha loãng với nước cất (tỷ lệ 1:3), rồi tiếp tục hút sạch cặn bã ra ngoài. Quá trình này thường được lặp lại 2-3 lần để loại bỏ hoàn toàn các chất bẩn còn sót lại.
Đồng thời, để ngăn ngừa tái phát, bác sĩ Bernard đã hướng dẫn bệnh nhân các tự chăm sóc và vệ sinh tai tại nhà, tránh đeo tai nghe trong thời gian dài và không để tai bị bịt kín quá lâu. Nếu ráy tai xuất hiện liên tục và nhiều, khả năng cao là tình trạng nấm tai tái phát, bệnh nhân cần tái khám ngay để được đánh giá và hướng dẫn phương pháp điều trị kịp thời.
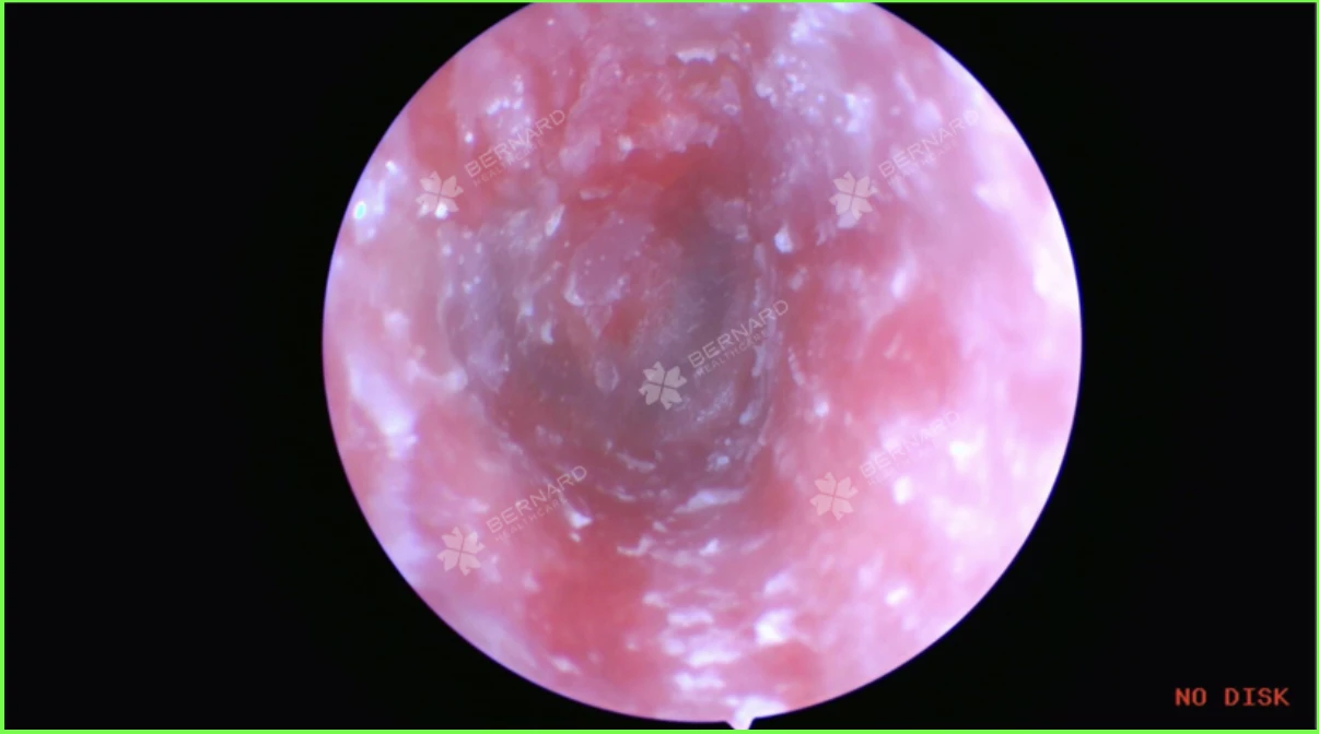
Sự thay đổi bên trong ống tai của bệnh nhân qua các lần thăm khám tiếp theo:
Nhờ sự đồng hành xuyên suốt của bác sĩ Nguyên qua tổng cộng 5 liệu trình điều trị và tái khám, bệnh nhân đã hoàn toàn chấm dứt các triệu chứng ngứa ngáy khó chịu, tình trạng nấm tai được kiểm soát tốt và không tái phát, chức năng nghe được cải thiện rõ rệt.
2. Đối tượng nào có nguy cơ cao bị nấm tai?
Theo BS CKI. Trần Xuân Nguyên, những thói quen hàng ngày như sử dụng tai nghe, mang nút bịt tai thường xuyên có thể tiềm ẩn nguy cơ nấm tai. Bởi ống tai bị đóng kín và ẩm chính là điều kiện lý tưởng để nấm phát triển.
Điều này đặc biệt ở những người làm việc trong môi trường ô nhiễm, nhiều bụi bẩn như kỹ sư công trình, công nhân xây dựng, nhân viên nhà máy hoặc những người thường xuyên phải mang bịt tai như vận động viên bơi lội, nhân viên âm thanh,...
Ngoài ra, việc lấy ráy tai tại các tiệm cắt tóc cũng làm tăng nguy cơ lây nhiễm nấm chéo do dụng cụ không được vệ sinh đúng cách. Thêm vào đó, thói quen không vệ sinh tay và lấy ráy tai trực tiếp bằng tay cũng là yếu tố nguy cơ dẫn đến nấm ống tai.
BS CKI. Trần Xuân Nguyên khuyến cáo, nấm tai có thể xâm nhập vào xương tai, gây ra các biến chứng nghiêm trọng nếu không được điều trị kịp thời. Do đó, những người có hành vi nguy cơ hoặc làm việc trong các môi trường kể trên cần chú ý vệ sinh tai thường xuyên và đúng cách, thường xuyên kiểm tra tai định kỳ để phòng ngừa các bệnh lý về tai, đặc biệt là nấm ống tai.
Tại Bernard Healthcare, chúng tôi cung cấp dịch vụ nội soi tai mũi họng hiện đại và chuyên nghiệp. Quy trình thăm khám và điều trị được thực hiện một cách nhẹ nhàng, nhanh chóng và hiệu quả. Đội ngũ bác sĩ giàu kinh nghiệm sẽ đồng hành cùng bệnh nhân trong suốt quá trình điều trị, giúp bệnh nhân cảm thấy thoải mái và yên tâm.






