Từ đau bụng, khó tiêu, trào ngược,... đến tổn thương vùng thanh quản - Chớ chủ quan với những triệu chứng tiêu hóa kéo dài!
17/12/2025
Rối loạn tiêu hóa không chỉ là câu chuyện của đường tiêu hóa.
Không ít bệnh nhân tìm đến Bernard Healthcare vì những rối loạn tiêu hóa tưởng chừng rất thông thường như đầy bụng, ợ hơi, trào ngược dạ dày – thực quản (GERD), cảm giác vướng họng sau ăn,… Các triệu chứng này có thể kéo dài nhiều tháng, thậm chí nhiều năm. Do không quá dữ dội, người bệnh thường tự điều trị hoặc chấp nhận “sống chung”, cho đến khi tình trạng không cải thiện.
Bernard Healthcare từng tiếp nhận một ca bệnh khiến nhiều người bất ngờ: bệnh nhân nữ 61 tuổi, có tiền sử rối loạn tiêu hóa tái đi tái lại dù đã dùng thuốc điều trị. Theo thời gian, bệnh nhân xuất hiện thêm tình trạng ngưng thở khi ngủ (sleep apnea), ngủ không sâu, mệt mỏi ban ngày. Kết quả thăm khám chuyên sâu cho thấy, vùng hầu họng của bệnh nhân đã hình thành polyp xoang lê - một tổn thương hiếm gặp và dễ bị bỏ sót.
Theo bác sĩ Bernard, chỉ đến khi triệu chứng kéo dài hoặc xuất hiện thêm những dấu hiệu bất thường, người bệnh mới bắt đầu hành trình thăm khám chuyên sâu. Và trong một số trường hợp, nguyên nhân cuối cùng lại không nằm ở dạ dày hay ruột, mà xuất phát từ một tổn thương ở vùng hầu họng.
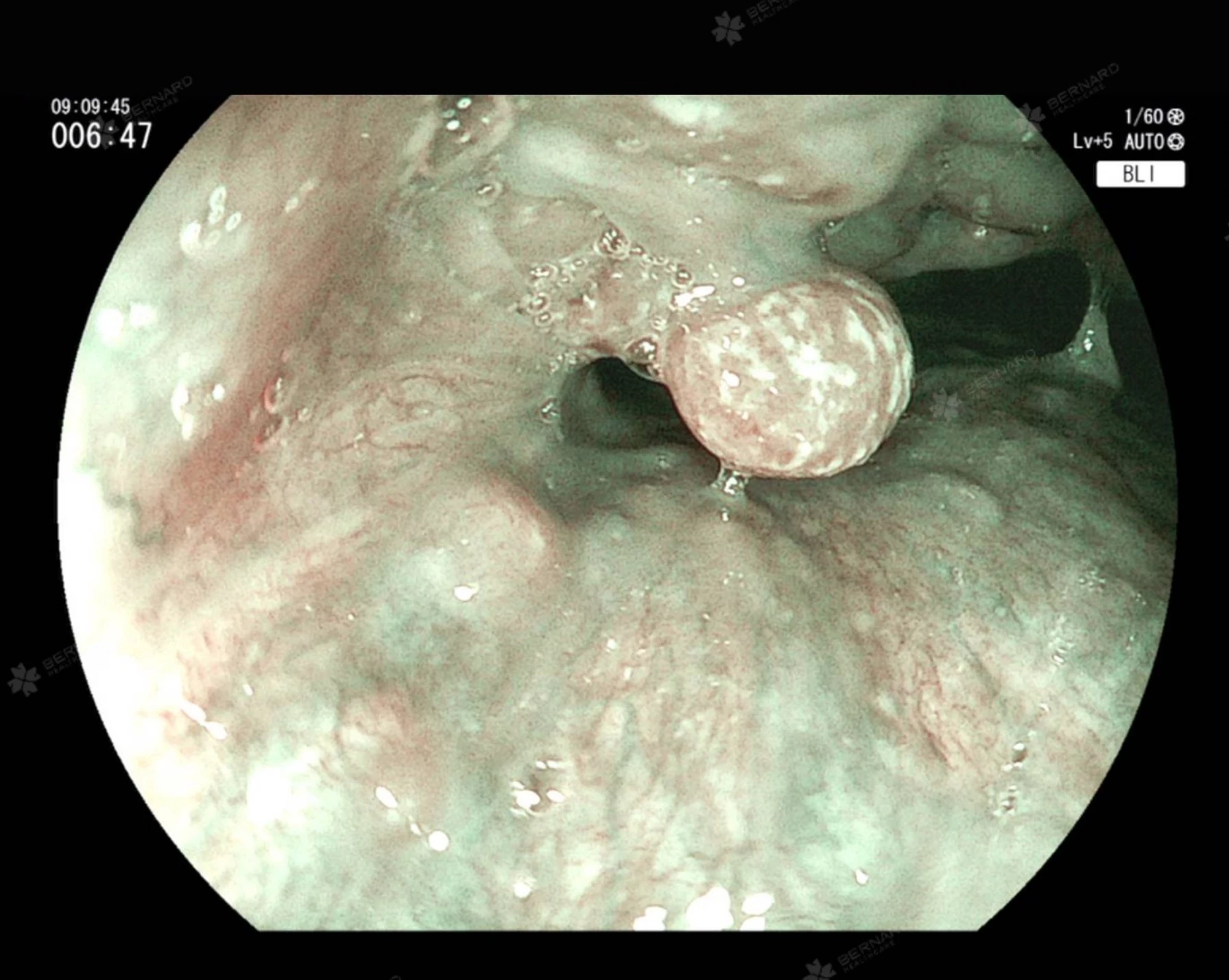
Polyp xoang lê – tổn thương vùng hầu họng dễ bị bỏ qua
Xoang lê (Pyriform sinus) là một cấu trúc giải phẫu nhỏ nằm hai bên thanh quản, thuộc vùng hạ họng - nơi giao thoa giữa đường tiêu hóa và hô hấp. Đây là vị trí có thể mắc dị vật (đặc biệt là xương cá), đồng thời cũng có thể xuất hiện các tổn thương lành tính hoặc ác tính như polyp, ung thư biểu mô hạ họng với tỉ lệ thấp, chỉ khoảng 1 – 4% dân số.
Ở giai đoạn sớm, polyp xoang lê thường không gây triệu chứng rầm rộ. Nhiều bệnh nhân chỉ có các biểu hiện mơ hồ như:
- Cảm giác vướng họng nhẹ sau ăn
- Ợ hơi, trào ngược nhẹ kéo dài
- Khó chịu vùng cổ họng, dễ bị nhầm với viêm họng mạn
- Đầy bụng, khó tiêu không rõ nguyên nhân
Do tính chất không đặc hiệu, các triệu chứng này dễ bị quy về rối loạn tiêu hóa chức năng hoặc trào ngược dạ dày – thực quản thông thường.
Tuy nhiên, dù là tổn thương lành tính, polyp xoang lê với vị trí đặc thù vẫn có thể ảnh hưởng trực tiếp đến đường nuốt và luồng khí, nhất là khi kích thước tăng dần theo thời gian.
Khi polyp xoang lê ảnh hưởng đến giấc ngủ
Một đặc điểm đáng lưu ý là polyp xoang lê có thể dao động theo nhịp thở. Khi người bệnh nằm, đặc biệt nằm ngửa, polyp dễ sa vào lòng hầu, gây cảm giác nghẹn, vướng, khó chịu. Các triệu chứng này thường nặng hơn về đêm.
Chính vì vậy, bên cạnh rối loạn tiêu hóa kéo dài, nhiều bệnh nhân bắt đầu xuất hiện rối loạn giấc ngủ, dù bản thân không nhận thức rõ mối liên quan.
Khi polyp xoang lê phát triển về phía đường thở, tổn thương này có thể trở thành yếu tố gây tắc nghẽn đường hô hấp trên khi ngủ. Trong tư thế nằm ngửa, polyp làm hẹp lòng hầu, dẫn đến ngáy to, thở không đều, thậm chí xuất hiện các cơn ngưng thở khi ngủ
Ngưng thở khi ngủ khiến luồng khí bị gián đoạn từng cơn, làm oxy máu giảm lặp đi lặp lại trong đêm. Người bệnh thường không tự nhận ra, nhưng hậu quả lại âm thầm kéo dài.
Sự xuất hiện của ngưng thở khi ngủ tạo nên một vòng xoắn bệnh lý:
- Các cơn ngưng thở gây áp lực âm trong lồng ngực, làm tăng nguy cơ trào ngược dạ dày – thực quản
- Rối loạn giấc ngủ kéo dài dẫn đến mất cân bằng thần kinh tự chủ, ảnh hưởng nhu động tiêu hóa
- Thiếu oxy mạn tính kích hoạt phản ứng viêm mức độ thấp, khiến niêm mạc tiêu hóa trở nên nhạy cảm hơn
Kết quả là:
- Rối loạn tiêu hóa kéo dài dai dẳng
- Điều trị tiêu hóa thông thường không đạt hiệu quả mong muốn
- Triệu chứng tái phát nhiều lần, nhất là về đêm
Trong bối cảnh này, polyp xoang lê trở thành mảnh ghép bị bỏ sót, trong khi ngưng thở khi ngủ là cầu nối giữa tổn thương vùng hầu họng và các biểu hiện tiêu hóa.
Bên cạnh lời cảnh báo, bác sĩ Bernard cũng chia sẻ những dấu hiệu gợi ý cần nghĩ đến polyp xoang lê:
- Rối loạn tiêu hóa kéo dài, điều trị không dứt
- Cảm giác vướng họng mạn tính, không rõ tổn thương
- Ngáy to, ngủ không sâu, mệt mỏi ban ngày
- Triệu chứng nặng hơn khi nằm hoặc về đêm
- Không phát hiện bất thường rõ ràng qua nội soi dạ dày thông thường
Khi polyp xoang lê được xử lý phù hợp, tình trạng ngưng thở khi ngủ cải thiện sẽ giúp giảm rõ rệt trào ngược về đêm, cải thiện cảm giác vướng họng, rối loạn tiêu hóa giảm dần,...
Các chuyên gia nhấn mạnh, rối loạn tiêu hóa kéo dài không phải lúc nào cũng bắt nguồn từ dạ dày hay ruột. Trong một số trường hợp, đó có thể là dấu hiệu gián tiếp của tổn thương vùng hầu họng và rối loạn giấc ngủ đi kèm.
Việc thăm khám sớm, toàn diện và đúng hướng không chỉ giúp phát hiện những bệnh lý hiếm gặp như polyp xoang lê, mà còn tránh bỏ sót các nguy cơ tiềm ẩn ảnh hưởng lâu dài đến sức khỏe.
Đặt lịch Tầm soát sức khỏe chuyên sâu cùng bác sĩ giỏi - khám kỹ, công nghệ hiện đại, mô hình Ningen Dock tại Bernard Healthcare qua hotline: 028 3535 2468 hoặc nhận tư vấn NGAY TẠI ĐÂY.






