Phát hiện đồng thời ung thư trực tràng tái phát và ung thư đại tràng mới - Câu chuyện cảnh tỉnh từ bệnh nhân nam 67 tuổi
03/10/2025
Ung thư đại trực tràng là bệnh lý có nguy cơ tái phát cao, đặc biệt trong vài năm đầu sau điều trị. Nhiều bệnh nhân thường bỏ qua việc tái khám định kỳ vì nghĩ rằng mình đã “khỏi bệnh”.
Phát hiện đồng thời 2 tổn thương tại đường ống tiêu hóa
Bệnh nhân N.V.G (67 tuổi) từng được chẩn đoán ung thư trực tràng và đã phẫu thuật cắt u trực tràng kèm mở hậu môn nhân tạo cách đây 6 tháng. Dù phải thích nghi với những bất tiện trong sinh hoạt, nhưng ông vẫn giữ tinh thần lạc quan và nhanh chóng trở lại nhịp sống thường nhật.
Dần hồi phục, ông G. chủ động đến Đơn vị Nội soi tiêu hóa chuẩn Nhật Bernard để tái kiểm tra nhằm đánh giá nguy cơ tái phát tại chỗ, đồng thời tầm soát nguy cơ xuất hiện ung thư mới ở đường tiêu hóa.

Sau khi tiếp nhận, bác sĩ Bernard tiến hành quy trình kiểm tra toàn diện gồm xét nghiệm máu, nội soi đại tràng toàn bộ và CT scan bụng – tiểu khung, nhằm đánh giá tình trạng sau phẫu thuật và phát hiện các tổn thương bất thường.
Kết quả xét nghiệm dấu ấn sinh học CEA cho thấy: Chỉ số CEA cao với 14.64 ng/mL (giới hạn bình thường < 5.0 ng/mL).
Chỉ số CEA (Carcinoembryonic antigen) là dấu ấn sinh học quan trọng trong chẩn đoán và theo dõi ung thư, đặc biệt ung thư đại trực tràng. Nồng độ CEA tăng cao sau điều trị thường gợi ý nguy cơ tái phát hoặc di căn. Khi vượt ngưỡng bình thường, nhất là trên 10 ng/mL, cần được đánh giá kỹ bằng nội soi, chẩn đoán hình ảnh (CT, MRI) và sinh thiết mô nếu cần thiết.
Hình ảnh CT Scan bụng - tiểu khung ghi nhận: 2 tổn thương tại đường tiêu hóa
Ở vị trí nối sau phẫu thuật, thành trực tràng dày lên bất thường, bờ không rõ ràng, nghi ngờ có khối u tái phát.
Không chỉ vậy, ở đoạn đại tràng bên trái cũng phát hiện một tổn thương bất thường dài khoảng 3,5 cm, chỗ dày nhất hơn 1 cm, xung quanh có vài hạch nhỏ (dmax khoảng 8mm). Dấu hiệu cho thấy ung thư có khả năng đã lan ra vùng lân cận và có thể di căn hạch vùng (N+). Dù chưa thấy xâm lấn sang cơ quan khác, nhưng các dấu hiệu hình ảnh học gợi ý một tổn thương ác tính cần được làm rõ.
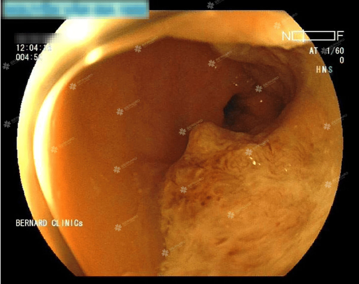
Nội soi toàn bộ đại trực tràng phát hiện ung thư tái phát và ung thư mới
Tại trực tràng, cách hậu môn khoảng 10cm, vị trí miệng nối sau phẫu thuật vẫn còn chỉ khâu xuất hiện khối u sùi, nhiễm cứng, làm hẹp lòng ruột, nghi ngờ tái phát ung thư trực tràng. Đáng lo ngại hơn khi soi về phía manh tràng, bác sĩ nội soi tìm thấy cách hậu môn nhân tạo #8cm có tổn thương u sùi, gây hẹp lòng.
Kết quả giải phẫu bệnh cho thấy, cả hai vị trí tổn thương tại miệng nối trực tràng và đại tràng trái đều là ung thư.
Nguy cơ tái phát ung thư đại trực tràng cao nhất trong 1 đến 3 năm đầu - Chớ chủ quan!
TS. BS. Võ Nguyên Phong - Chuyên khoa Ngoại Tiêu Hóa - Gan Mật, Bernard Healthcare nhấn mạnh: Trong ung thư, người ta thường đánh giá tiên lượng và nguy cơ tái phát theo các mốc 1 năm, 3 năm và 5 năm. Nếu sau 5 năm kiểm tra mà bệnh nhân không có dấu hiệu tái phát hay di căn, thì có thể xem như đã khỏi bệnh.
Tuy nhiên, trong khoảng thời gian 5 năm này, nguy cơ tái phát có thể xảy ra ở bất kỳ thời điểm nào, chỉ là khó dự đoán trước. Thực tế, nguy cơ cao nhất tập trung trong 1 đến 3 năm đầu. Người bệnh vẫn có khả năng tái phát hoặc xuất hiện tổn thương mới. Nguyên nhân có thể do những tế bào ung thư vi thể còn sót lại hoặc do hình thành các polyp mới trên nền niêm mạc đã từng bệnh lý. Vì vậy, trong giai đoạn này việc theo dõi phải được thực hiện chặt chẽ hơn.

Với trường hợp của ông G., ngay sau khi có kết quả giải phẫu bệnh, Hội đồng Y khoa Bernard đã lập tức hội chẩn cùng bác sĩ chẩn đoán hình ảnh và bác sĩ ngoại khoa, trong đó có sự tham gia của TS. BS. Võ Nguyên Phong.
Việc đồng thời phát hiện ung thư tái phát tại vị trí phẫu thuật cũ và ổ ung thư mới ở vị trí khác của đại tràng cho thấy nguy cơ diễn tiến toàn thân và yêu cầu can thiệp điều trị kịp thời và triệt để. Bệnh nhân sau đó được giới thiệu đến trung tâm chuyên sâu về phẫu thuật ngoại tiêu hóa, có chuyên môn sâu hơn trong điều trị ung thư đường tiêu hóa phức tạp. Các bác sĩ Bernard Healthcare cũng sẽ tiếp tục đồng hành và cập nhật tiến trình điều trị cùng bệnh nhân.
Đặt lịch nội soi tiêu hóa chuẩn Nhật tại Bernard Healthcare qua hotline 028 3535 2468 hoặc để lại thông tin nhận tư vấn NGAY TẠI ĐÂY.



