Kịp thời phát hiện tổn thương tiền ung thư cổ tử cung qua khám sức khỏe định kỳ tại Bernard Healthcare
08/04/2025
Ung thư cổ tử cung là một trong những bệnh ung thư phổ biến ở phụ nữ, đặc biệt trong độ tuổi từ 35 đến 55. Tuy nhiên, nếu được phát hiện sớm và có hướng điều trị kịp thời, bệnh có thể được kiểm soát và ngăn ngừa tiến triển thành ung thư xâm lấn.
Chị K.P. (47 tuổi, nhân viên văn phòng) đến khám tại Bernard Healthcare theo chương trình khám sức khỏe doanh nghiệp. Chị chia sẻ trong sự lo lắng, dạo gần đây thường cảm thấy khó chịu ở vùng bụng dưới, âm đạo tiết nhiều dịch và thỉnh thoảng có kèm theo máu. Những triệu chứng này ảnh hưởng đáng kể đến quá trình sinh hoạt hàng ngày.
Triệu chứng nhỏ nhưng nguy cơ lớn!
Dựa vào độ tuổi và triệu chứng lâm sàng, bác sĩ phụ khoa Bernard đã tư vấn chị P. thực hiện các xét nghiệm chuyên sâu để kiểm tra nguy cơ ung thư cổ tử cung, gồm: PAP Smear, HPV-DNA và soi cổ cung.
PAP Smear: Phát hiện tế bào gai không điển hình, có ý nghĩa không xác định (ASC-US). Đây là một dấu hiệu cảnh báo rằng tế bào cổ tử cung có sự biến đổi bất thường.
Xét nghiệm HPV-DNA: Dương tính với HPV type 52, một chủng thuộc nhóm nguy cơ cao gây ung thư cổ tử cung.
Soi cổ tử cung: Sau thử phản ứng Acid xuất hiện mảng trắng tại vị trí 7h sát lỗ ngoài cổ tử cung. Tiếp tục thử với dung dịch Lugol nhận thấy màu nâu không đều, kết luận có vết trắng cổ tử cung.
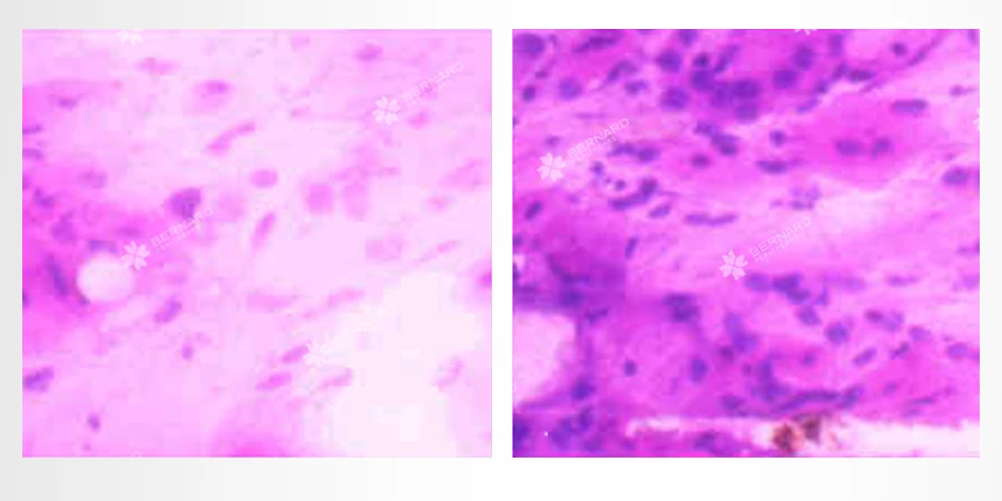
Trước những dấu hiệu nghi ngờ này, bác sĩ Phụ khoa Bernard đã chỉ định chị P. thực hiện sinh thiết cổ tử cung để đánh giá mô học chi tiết hơn. Kết quả sinh thiết ghi nhận:
- Hiện tượng tăng sản tế bào gai không sừng hóa.
- Tế bào nhân tăng sắc kiềm, tỉ lệ N/C > 1, có nhân chia không điển hình.
- Biểu mô tuyến có vị trí nhân tế bào không đều, sắp xếp mất cực tính.
Kết luận: Tân sinh trong biểu mô cổ tử cung độ III, tương đương tổn thương trong biểu mô gai độ cao (HSIL).
HPV type 52 không phổ biến như HPV 16 và 18 nhưng vẫn thuộc nhóm nguy cơ cao gây ung thư cổ tử cung. Bên cạnh đó, virus này còn có thể gây ung thư trực tràng, ung thư âm đạo, ung thư hầu họng… Do đó, chị em phụ nữ, đặc biệt là những người đã có quan hệ tình dục, cần chủ động thực hiện các xét nghiệm tầm soát HPV và Pap smear định kỳ để bảo vệ sức khỏe của mình.
Bác sĩ Bernard đồng hành điều trị và xây dựng kế hoạch theo dõi lâu dài ngăn chặn nguy cơ ung thư cho bệnh nhân
Trước tình trạng tổn thương HSIL (CIN III) – giai đoạn tiền ung thư nghiêm trọng, bác sĩ Phụ khoa tại Bernard đã tư vấn chị P. thực hiện khoét chóp cổ tử cung để loại bỏ tổn thương trước khi tiến triển thành ung thư xâm lấn. Bệnh nhân được giới thiệu đến bệnh viện chuyên khoa sâu để thực hiện.
Đồng thời sau khi điều trị, để đảm bảo hiệu quả và ngăn ngừa nguy cơ tái phát, chị P. được bác sĩ Bernard hướng dẫn kế hoạch theo dõi chặt chẽ:
- Trong giai đoạn ngắn hạn: Sau 6 và 12 tháng, bệnh nhân cần thực hiện kết hợp Pap smear và HPV DNA (co-testing) để đánh giá tình trạng lành bệnh và sự hiện diện của HPV. Nếu có dấu hiệu bất thường trong quá trình theo dõi, bác sĩ sẽ chỉ định nội soi cổ tử cung để đánh giá kỹ hơn.
- Trong giai đoạn dài hạn: Nếu kết quả xét nghiệm ở 6 và 12 tháng đều âm tính, bệnh nhân nên tiếp tục theo dõi với co-testing mỗi 3 năm hoặc thực hiện Pap smear mỗi 1-3 năm tùy thuộc vào kết quả trước đó.
Nhờ sự tư vấn kịp thời và phác đồ điều trị phù hợp tại Bernard Healthcare, chị P. đã phát hiện và điều trị tổn thương tiền ung thư cổ tử cung trước khi bệnh tiến triển thành ung thư. Đây là một lời nhắc nhở mạnh mẽ về tầm quan trọng của việc tầm soát sức khỏe định kỳ, đặc biệt với các bệnh lý ung thư nguy hiểm như ung thư cổ tử cung.
Bài học quan trọng: Đừng bỏ lỡ tầm soát ung thư cổ tử cung!
Theo bác sĩ tại Bernard Healthcare, trường hợp của chị P. là một minh chứng rõ nét cho tầm quan trọng của việc tầm soát ung thư cổ tử cung định kỳ, đặc biệt với những phụ nữ trên 40 tuổi. Nếu không phát hiện kịp thời và can thiệp đúng lúc, tổn thương CIN III có thể tiến triển thành ung thư xâm lấn, ảnh hưởng nghiêm trọng đến sức khỏe và tính mạng.
Việc kết hợp Pap smear, HPV-DNA và soi cổ tử cung trong chương trình khám sức khỏe định kỳ giúp phát hiện tổn thương tiền ung thư ngay từ giai đoạn sớm. Đáng tiếc, nhiều trường hợp chỉ thực hiện Pap smear mà không soi cổ tử cung, dẫn đến bỏ sót những tổn thương sâu hơn và phát hiện bệnh khi đã ở giai đoạn muộn.
Bác sĩ tại Bernard Healthcare khuyến nghị phụ nữ nên:
- Thực hiện Pap smear và HPV-DNA định kỳ theo hướng dẫn của bác sĩ.
- Không bỏ qua soi cổ tử cung, đặc biệt khi có kết quả Pap smear bất thường.
- Tiêm phòng vắc-xin HPV, ngay cả khi đã từng nhiễm HPV, để giảm nguy cơ mắc các chủng virus nguy hiểm khác.
- Tuân thủ lịch tái khám và điều trị theo chỉ dẫn để kiểm soát sức khỏe một cách tốt nhất.
Sức khỏe là vốn quý nhất. Đừng đợi đến khi có triệu chứng nghiêm trọng mới thăm khám. Hãy đến Bernard Healthcare để được kiểm tra sức khỏe từ tổng quát đến chuyên sâu và nhận sự tư vấn tận tình từ đội ngũ bác sĩ giàu kinh nghiệm, cùng một trải nghiệm hoàn toàn khác biệt: không căng thẳng, không chờ đợi.
Liên hệ ngay qua hotline (028) 3535 2468 hoặc điền thông tin nhận tư vấn TẠI ĐÂY.




