Thăm khám sức khỏe định kỳ, cô gái trẻ vô tình phát hiện bệnh lý hiếm gặp dù cơ thể không có triệu chứng bất thường
20/06/2024
Khám sức khỏe định kỳ tại Bernard Healthcare, khách hàng nữ 25 tuổi phát hiện mắc hai bệnh lý hiếm gặp là nang màng ngoài tim và động mạch dưới đòn phải lạc chỗ, dù trước đó cơ thể không có triệu chứng bất thường.
1. Thông tin ca bệnh
Bệnh nhân V.H. (nữ, 25 tuổi) không ghi nhận triệu chứng bất thường và đến khám sức khỏe định kỳ tại Bernard Healthcare.
Sau quá trình thăm khám và phát hiện có bất thường trên hình ảnh X-quang ngực thẳng: Khối mờ vùng rốn phổi phải xóa bờ tim nghi U trung thất. Chị V.H. được chỉ định thực hiện CT scan ngực có thuốc cản quang để xác định rõ bất thường.
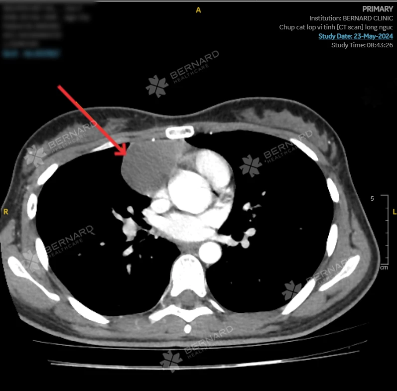
Bằng chuyên môn và kinh nghiệm dày dặn của các bác sĩ Bernard, kết hợp với máy móc thiết bị hiện đại, kết quả trên hình ảnh CT scan ngực của chị V.H. ghi nhận: Tổn thương choán chỗ dạng nang dịch ở trung thất giữa phải, cạnh phải tim, kích thước lớn (37x42x45mm), đậm độ dịch, không bắt thuốc tương phản, nghi ngờ nang màng ngoài tim - một bệnh lý rất hiếm gặp với tỷ lệ là 1/100.000.

Bên cạnh đó, các bác sĩ Bernard cũng kịp thời phát hiện một tình trạng hiếm gặp khác mà chị V.H. mắc phải là Động mạch dưới đòn phải lạc chỗ, dù trước đó chị V.H. không có triệu chứng sức khỏe bất thường.

Bệnh nhân được hội chẩn cùng TS. BS. CKII Nguyễn Viết Đăng Quang - Chuyên khoa Ngoại lồng ngực, thành viên Hội đồng Cố vấn Y khoa Bernard. Sau hội chẩn, bệnh nhân được đề nghị phẫu thuật cắt bỏ u nang. Do vị trí đặc biệt của u nang, BS. Đăng Quang khuyến nghị bệnh nhân thực hiện thêm một số xét cận lâm sàng để sàng lọc và loại trừ các bệnh lý liên quan (tầm soát bệnh nhược cơ). Đồng thời, các bác sĩ Bernard đã xây dựng kế hoạch điều trị phù hợp với tình trạng bệnh nhân và giới thiệu bệnh nhân đến bệnh viện chuyên khoa để điều trị.
2. Nang màng ngoài tim là bệnh gì?
Nang màng ngoài tim (Pericardial cyst) là một dạng tổn thương bẩm sinh nhưng hiếm gặp của màng ngoài tim, thuộc nhóm bệnh u nang trung thất. Bệnh nang màng ngoài tim thường ít biểu hiện triệu chứng lâm sàng, chỉ được phát hiện tình cờ qua các xét nghiệm hình ảnh như chụp X-quang, CT Scan ngực.
Kích thước nang có thể lớn dần theo thời gian, dao động từ vài milimet đến vài centimet. Những nang có kích thước lớn, có thể chèn ép các cơ quan xung quanh hoặc vỡ vào khoang màng tim, màng phổi gây ra những biến chứng nguy hiểm.
3. Động mạch dưới đòn phải lạc chỗ là bệnh gì?
Động mạch dưới đòn phải lạc chỗ (Aberrant right subclavian artery - ARSA) là một biến dạng hiếm gặp của động mạch, ít gây ảnh hưởng nghiêm trọng đến sức khỏe và thường xuất hiện đồng thời trên những bệnh nhân có các dị tật bẩm sinh tại lồng ngực. Do đó, bệnh nhân cần duy trì thói quen kiểm tra sức khỏe định kỳ để theo dõi và nắm rõ tình trạng sức khỏe.
4. Chủ động khám sức khỏe định kỳ, phát hiện sớm bệnh lý cùng Bernard Healthcare
Không chỉ những bệnh lý hiếm gặp mà phần lớn các bệnh tim mạch, mạch máu nguy hiểm thường diễn tiến âm thầm, không triệu chứng, chỉ được phát hiện sớm, can thiệp kịp thời nhờ chủ động tầm soát sức khỏe chuyên sâu, định kỳ.
Bernard Healthcare với đội ngũ bác sĩ đa chuyên khoa giàu kinh nghiệm, hệ thống “mắt thần” hiện đại (MRI, CT...), đồng bộ cùng Công nghệ dựng hình chuyên sâu tích hợp trí tuệ nhân tạo (AI PACS), mang đến giải pháp toàn diện trong tầm soát, phát hiện sớm các bệnh lý tim mạch - mạch máu dù kích thước rất nhỏ và những tổn thương, bất thường ở giai đoạn sớm, khi cơ thể chưa xuất hiện triệu chứng.
Liên hệ ngay hotline 028 3535 2468 đặt lịch hoặc để lại thông tin liên hệ ngay tại đây để được tư vấn tầm soát chuyên sâu và khám sức khỏe định kỳ cùng Bernard Healthcare, kịp thời phát hiện những bất thường ẩn giấu.
Bernard Healthcare và Bệnh viện Đại học Yamanashi (Nhật Bản) hợp tác chiến lược, kết nối chuyên môn trực tiếp, cùng kiểm tra chéo kết quả chẩn đoán hình ảnh (MRI, CT scan trong tầm soát chuyên sâu Ung thư, Đột quỵ, các bệnh lý Mạch máu…); tham vấn chuyên môn dành cho các trường hợp bệnh lý phức tạp cùng đội ngũ Giáo sư, Bác sĩ lâm sàng tại Bệnh viện Đại học Yamanashi.
Tháng 08/2023, Tập đoàn công nghệ y tế hàng đầu thế giới, lịch sử 150 năm uy tín - GE HealthCare (Mỹ) công bố: "Bernard Healthcare trở thành Trung tâm y khoa trưng bày và ứng dụng (showsite) giải pháp chẩn đoán hình ảnh toàn diện trong tầm soát, chẩn đoán sớm Ung thư và các bệnh lý Mạch máu của GE HealthCare ĐẦU TIÊN tại Việt Nam".
Bernard Healthcare thuộc TOP 10 phòng khám ĐA KHOA tốt nhất TP.HCM, theo đánh giá 23 tiêu chí chất lượng của Sở Y tế TP.HCM, 2023.








